Antibody data
- Antibody Data
- Antigen structure
- References [0]
- Comments [0]
- Validations
- Western blot [1]
- Immunohistochemistry [1]
Submit
Validation data
Reference
Comment
Report error
- Product number
- NB100-2256 - Provider product page

- Provider
- Novus Biologicals
- Proper citation
- Novus Cat#NB100-2256, RRID:AB_10003477
- Product name
- Rabbit Polyclonal BAAT1 Antibody
- Antibody type
- Polyclonal
- Description
- Immunogen affinity purified.
- Reactivity
- Human
- Host
- Rabbit
- Isotype
- IgG
- Vial size
- 0.1 ml
- Concentration
- 0.2 mg/ml
- Storage
- Store at 4C. Do not freeze.
No comments: Submit comment
Supportive validation
- Submitted by
- Novus Biologicals (provider)
- Main image

- Experimental details
- Western Blot: BAAT1 Antibody [NB100-2256] - Whole cell lysate from HeLa (5, 15 and 50 mcg for WB; 1 mg for IP, 20% of IP loaded) and 293T (T; 50 mcg) cells. Rabbit anti- BAAT1 antibody NB100-2256 used for WB at 0.04 mcg/ml (A) and 1 mcg/ml (B) and used for IP at 3 mcg/mg lysate (B). BAAT1 was also immunoprecipitated using rabbit anti-BAAT1 antibody NB100-2255 at 3 mcg/mg lysate.
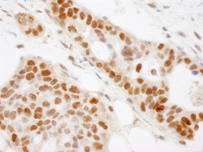
Supportive validation
- Submitted by
- Novus Biologicals (provider)
- Main image

- Experimental details
- Immunohistochemistry-Paraffin: BAAT1 Antibody [NB100-2256] - Human ovarian carcinoma. Antibody: Affinity purified rabbit anti-BAAT1 used at a dilution of 1:200 ( 1ug/ml). Detection: DAB staining using Immunohistochemistry Accessory Kit.