Antibody data
- Antibody Data
- Antigen structure
- References [1]
- Comments [0]
- Validations
- Western blot [1]
- Immunohistochemistry [3]
Submit
Validation data
Reference
Comment
Report error
- Product number
- TA332616 - Provider product page

- Provider
- OriGene
- Product name
- Rabbit anti-SLC4A4 Polyclonal Antibody
- Antibody type
- Polyclonal
- Description
- Rabbit anti-SLC4A4 Polyclonal Antibody
- Host
- Rabbit
- Conjugate
- Unconjugated
- Epitope
- SLC4A4
- Isotype
- IgG
- Antibody clone number
- NULL
- Vial size
- 100 µg
- Concentration
- 1mg/ml
Submitted references Expressional and Functional Characterization of Intracellular pH Regulators and Effects of Ethanol in Human Oral Epidermoid Carcinoma Cells.
Lee SP, Chao SC, Huang SF, Chen YL, Tsai YT, Loh SH
Cellular physiology and biochemistry : international journal of experimental cellular physiology, biochemistry, and pharmacology 2018;47(5):2056-2068
Cellular physiology and biochemistry : international journal of experimental cellular physiology, biochemistry, and pharmacology 2018;47(5):2056-2068
No comments: Submit comment
Supportive validation
- Submitted by
- OriGene (provider)
- Main image

- Experimental details
- Western blot analysis of extracts of various cell lines, using SLC4A4 antibody.
- Validation comment
- WB
Supportive validation
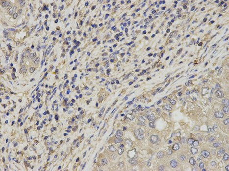
- Submitted by
- OriGene (provider)
- Main image

- Experimental details
- Immunohistochemical of paraffin-embedded human liver cancer using SLC4A4 antibody at dilution of 1:200 (400x lens).
- Validation comment
- IHC
- Submitted by
- OriGene (provider)
- Main image

- Experimental details
- Immunohistochemical of paraffin-embedded human lung cancer using SLC4A4 antibody at dilution of 1:200 (400x lens).
- Validation comment
- IHC
- Submitted by
- OriGene (provider)
- Main image

- Experimental details
- Immunohistochemical of paraffin-embedded rat lung using SLC4A4 antibody at dilution of 1:200 (400x lens).
- Validation comment
- IHC