Antibody data
- Antibody Data
- Antigen structure
- References [0]
- Comments [0]
- Validations
- Immunocytochemistry [2]
- Immunohistochemistry [4]
Submit
Validation data
Reference
Comment
Report error
- Product number
- PA5-58723 - Provider product page

- Provider
- Invitrogen Antibodies
- Product name
- DIS3 Polyclonal Antibody
- Antibody type
- Polyclonal
- Antigen
- Recombinant protein fragment
- Description
- Immunogen sequence: EAYILFVRKN AIVVLIPKYG LEGTVFFEEK DKPNPQLIYD DEIPSLKIED TVFHVFDKVK VKIMLDSSNL QHQKIRMSLV EPQIPGISIP TDTSN Highest antigen sequence identity to the following orthologs: Mouse - 86%, Rat - 87%.
- Reactivity
- Human
- Host
- Rabbit
- Isotype
- IgG
- Vial size
- 100 μL
- Concentration
- 0.3 mg/mL
- Storage
- Store at 4°C short term. For long term storage, store at -20°C, avoiding freeze/thaw cycles.
No comments: Submit comment
Supportive validation
- Submitted by
- Invitrogen Antibodies (provider)
- Main image

- Experimental details
- Immunofluorescent staining of DIS3 in human cell line U-2 OS using a DIS3 Polyclonal Antibody (Product # PA5-58723) shows localization to nucleus and cytosol.
- Submitted by
- Invitrogen Antibodies (provider)
- Main image

- Experimental details
- Immunofluorescent staining of DIS3 in human cell line U-2 OS using a DIS3 Polyclonal Antibody (Product # PA5-58723) shows localization to nucleus and cytosol.
Supportive validation
- Submitted by
- Invitrogen Antibodies (provider)
- Main image

- Experimental details
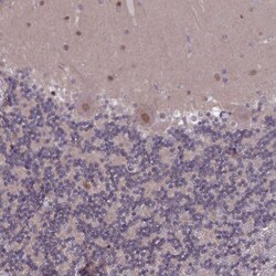
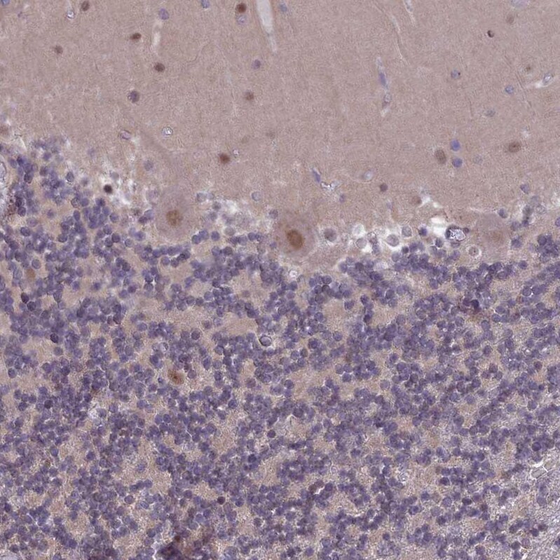
- Immunohistochemical analysis of DIS3 in human cerebellum using DIS3 Polyclonal Antibody (Product # PA5-58723) shows moderate nuclear positivity in Purkinje cells.
- Submitted by
- Invitrogen Antibodies (provider)
- Main image

- Experimental details
- Immunohistochemical analysis of DIS3 in human cervix using DIS3 Polyclonal Antibody (Product # PA5-58723) shows strong nuclear positivity in squamous epithelial cells.
- Submitted by
- Invitrogen Antibodies (provider)
- Main image

- Experimental details
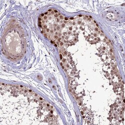
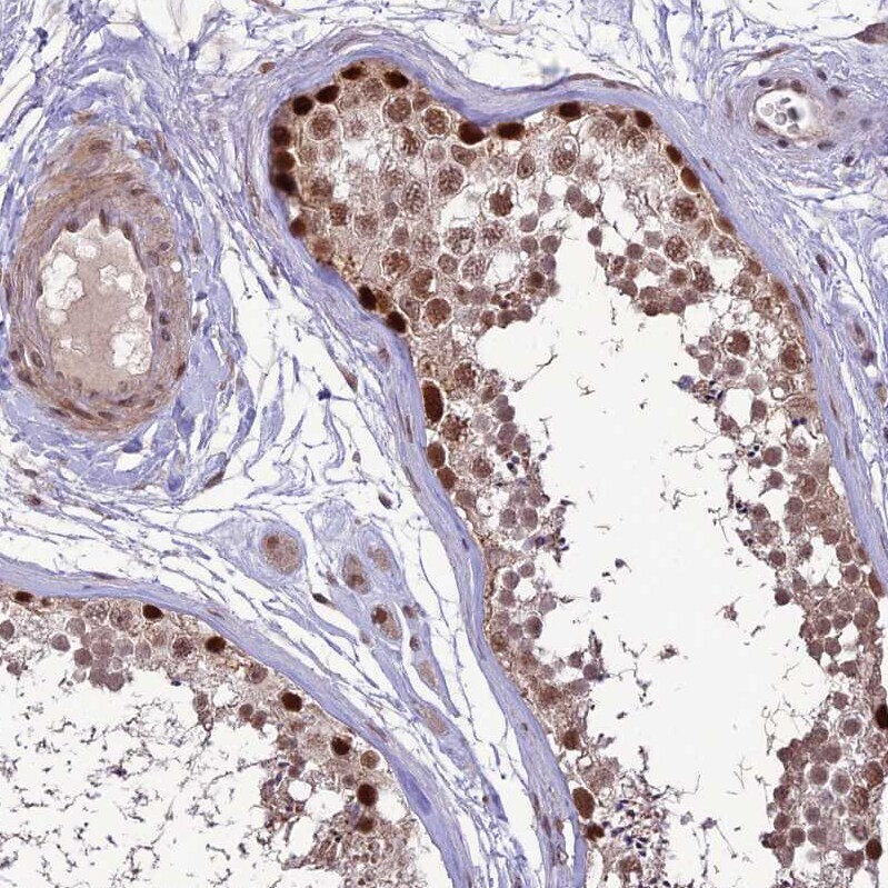
- Immunohistochemical analysis of DIS3 in human testis using DIS3 Polyclonal Antibody (Product # PA5-58723) shows strong nuclear positivity in cells in seminiferous ducts.
- Submitted by
- Invitrogen Antibodies (provider)
- Main image

- Experimental details
- Immunohistochemical analysis of DIS3 in human lymph node using DIS3 Polyclonal Antibody (Product # PA5-58723) shows strong nuclear positivity in germinal center cells.