Antibody data
- Antibody Data
- Antigen structure
- References [0]
- Comments [0]
- Validations
- Western blot [1]
- Immunocytochemistry [1]
- Immunohistochemistry [1]
- Flow cytometry [1]
Submit
Validation data
Reference
Comment
Report error
- Product number
- F54921 - Provider product page

- Provider
- NSJ Bioreagents
- Product name
- Krueppel-like factor 5 Antibody / KLF5
- Antibody type
- Polyclonal
- Description
- This highly specific Krueppel-like factor 5 antibody is suitable for use in Western blot/Immunofluorescence/Flow cytometry/Immunohistochemistry applications with human samples.
- Reactivity
- Human
- Host
- Rabbit
- Conjugate
- Unconjugated
- Vial size
- 0.08 ml, 0.4 ml
- Concentration
- In 1X PBS, pH 7.4, with 0.09% sodium azide
- Storage
- Aliquot the Krueppel-like factor 5 antibody and store frozen at -20oC or colder. Avoid repeated freeze-thaw cycles.
No comments: Submit comment
Supportive validation
- Submitted by
- NSJ Bioreagents (provider)
- Main image

- Experimental details
- Western blot testing of human CCRF-CEM cell lysate with Krueppel-like factor 5 antibody. Predicted molecular weight: 34-51 kDa (multiple isoforms).
Supportive validation
- Submitted by
- NSJ Bioreagents (provider)
- Main image

- Experimental details
- Immunofluorescent staining of fixed and permeabilized human U-251 cells with Krueppel-like factor 5 antibody (green), DAPI nuclear stain (blue) and anti-Actin (red).
Supportive validation
- Submitted by
- NSJ Bioreagents (provider)
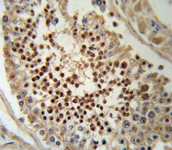
- Main image

- Experimental details
- IHC testing of FFPE human testis tissue with Krueppel-like factor 5 antibody. HIER: steam section in pH6 citrate buffer for 20 min and allow to cool prior to staining.
Supportive validation
- Submitted by
- NSJ Bioreagents (provider)
- Main image

- Experimental details
- Flow cytometry testing of human HeLa cells with Krueppel-like factor 5 antibody; Blue=isotype control, Green= Krueppel-like factor 5 antibody.