15126-1-AP
antibody from Proteintech Group
Targeting: GOLM1
bA379P1.3, C9orf155, FLJ23608, GOLPH2, GP73
Antibody data
- Antibody Data
- Antigen structure
- References [12]
- Comments [0]
- Validations
- Western blot [1]
- Immunocytochemistry [1]
- Immunohistochemistry [2]
Submit
Validation data
Reference
Comment
Report error
- Product number
- 15126-1-AP - Provider product page

- Provider
- Proteintech Group
- Proper citation
- Proteintech Cat#15126-1-AP, RRID:AB_2113330
- Product name
- GP73/GOLPH2 antibody
- Antibody type
- Polyclonal
- Description
- KD/KO validated GP73/GOLPH2 antibody (Cat. #15126-1-AP) is a rabbit polyclonal antibody that shows reactivity with human and has been validated for the following applications: FC, IF, IHC, IP, WB, ELISA.
- Reactivity
- Human
- Host
- Rabbit
- Conjugate
- Unconjugated
- Isotype
- IgG
- Vial size
- 20ul, 150ul
Submitted references microRNA profilings identify plasma biomarkers and targets associated with pediatric epilepsy patients.
Investigation of Glycosylphosphatidylinositol (GPI)-Plasma Membrane Interaction in Live Cells and the Influence of GPI Glycan Structure on the Interaction.
GP73 enhances the ox-LDL-induced inflammatory response in THP-1 derived macrophages via affecting NLRP3 inflammasome signaling.
Integrative Analysis Reveals the Potential Role and Prognostic Value of GOLM1 in Hepatocellular Carcinoma.
GOLM1 restricts colitis and colon tumorigenesis by ensuring Notch signaling equilibrium in intestinal homeostasis.
LncRNA MALAT1 knockdown inhibits cell migration and invasion by suppressing autophagy through miR-384/GOLM1 axis in glioma.
Rapid affinity purification of intracellular organelles using a twin strep tag.
GP73 level determines chemotherapeutic resistance in human hepatocellular carcinoma cells.
GP73 represses host innate immune response to promote virus replication by facilitating MAVS and TRAF6 degradation.
Golgi protein 73 facilitates the interaction of hepatitis C virus NS5A with apolipoprotein E to promote viral particle secretion.
RCAN1 increases Aβ generation by promoting N-glycosylation via oligosaccharyltransferase.
Expression and prognostic significance of golgiglycoprotein73 (GP73) with epithelial-mesenchymal transition (EMT) related molecules in hepatocellular carcinoma (HCC).
Wang Q, Shi X, Li PP, Gao L, Zhou Y, Li L, Ye H, Fu X, Li P
Pediatric research 2024 Mar;95(4):996-1008
Pediatric research 2024 Mar;95(4):996-1008
Investigation of Glycosylphosphatidylinositol (GPI)-Plasma Membrane Interaction in Live Cells and the Influence of GPI Glycan Structure on the Interaction.
Kundu S, Jaiswal M, Babu Mullapudi V, Guo J, Kamat M, Basso KB, Guo Z
Chemistry (Weinheim an der Bergstrasse, Germany) 2024 Feb 7;30(8):e202303047
Chemistry (Weinheim an der Bergstrasse, Germany) 2024 Feb 7;30(8):e202303047
GP73 enhances the ox-LDL-induced inflammatory response in THP-1 derived macrophages via affecting NLRP3 inflammasome signaling.
Lin YF, Li MH, Huang RH, Zhang SZ, Xu XF, Zhou HM, Liu MH, Liao XX, Liao LZ, Guo Y, Zhuang XD
International journal of cardiology 2023 Sep 15;387:131109
International journal of cardiology 2023 Sep 15;387:131109
Integrative Analysis Reveals the Potential Role and Prognostic Value of GOLM1 in Hepatocellular Carcinoma.
Lin Y, He Z, Gao X, Lu L, Lu C, Huang J, Luo M, Ye J, Liang R
Oxidative medicine and cellular longevity 2022;2022:8284500
Oxidative medicine and cellular longevity 2022;2022:8284500
GOLM1 restricts colitis and colon tumorigenesis by ensuring Notch signaling equilibrium in intestinal homeostasis.
Pu Y, Song Y, Zhang M, Long C, Li J, Wang Y, Xu Y, Pan F, Zhao N, Zhang X, Xu Y, Cui J, Wang H, Li Y, Zhao Y, Jin D, Zhang H
Signal transduction and targeted therapy 2021 Apr 14;6(1):148
Signal transduction and targeted therapy 2021 Apr 14;6(1):148
LncRNA MALAT1 knockdown inhibits cell migration and invasion by suppressing autophagy through miR-384/GOLM1 axis in glioma.
Ma R, Zhang BW, Zhang ZB, Deng QJ
European review for medical and pharmacological sciences 2020 Mar;24(5):2601-2615
European review for medical and pharmacological sciences 2020 Mar;24(5):2601-2615
Rapid affinity purification of intracellular organelles using a twin strep tag.
Xiong J, He J, Xie WP, Hinojosa E, Ambati CSR, Putluri N, Kim HE, Zhu MX, Du G
Journal of cell science 2019 Dec 13;132(24)
Journal of cell science 2019 Dec 13;132(24)
GP73 level determines chemotherapeutic resistance in human hepatocellular carcinoma cells.
Ye JZ, Yan SM, Yuan CL, Wu HN, Zhang JY, Liu ZH, Li YQ, Luo XL, Lin Y, Liang R
Journal of Cancer 2018;9(2):415-423
Journal of Cancer 2018;9(2):415-423
GP73 represses host innate immune response to promote virus replication by facilitating MAVS and TRAF6 degradation.
Zhang X, Zhu C, Wang T, Jiang H, Ren Y, Zhang Q, Wu K, Liu F, Liu Y, Wu J
PLoS pathogens 2017 Apr;13(4):e1006321
PLoS pathogens 2017 Apr;13(4):e1006321
Golgi protein 73 facilitates the interaction of hepatitis C virus NS5A with apolipoprotein E to promote viral particle secretion.
Zhang X, Wang T, Dai X, Zhang Y, Jiang H, Zhang Q, Liu F, Wu K, Liu Y, Zhou H, Wu J
Biochemical and biophysical research communications 2016 Oct 28;479(4):683-689
Biochemical and biophysical research communications 2016 Oct 28;479(4):683-689
RCAN1 increases Aβ generation by promoting N-glycosylation via oligosaccharyltransferase.
Wang T, Liu H, Wang Y, Liu C, Sun X
Current Alzheimer research 2014 May;11(4):332-9
Current Alzheimer research 2014 May;11(4):332-9
Expression and prognostic significance of golgiglycoprotein73 (GP73) with epithelial-mesenchymal transition (EMT) related molecules in hepatocellular carcinoma (HCC).
Bao YX, Cao Q, Yang Y, Mao R, Xiao L, Zhang H, Zhao HR, Wen H
Diagnostic pathology 2013 Dec 6;8:197
Diagnostic pathology 2013 Dec 6;8:197
No comments: Submit comment
Supportive validation
- Submitted by
- Proteintech Group (provider)
- Main image

- Experimental details
- HeLa cells were subjected to SDS PAGE followed by western blot with 15126-1-AP(GOLM1 antibody) at dilution of 1:1500
- Sample type
- cell line
Supportive validation
- Submitted by
- Proteintech Group (provider)
- Main image

- Experimental details
- Immunofluorescent analysis of Hela cells, using GOLM1 antibody 15126-1-AP at 1:25 dilution and Rhodamine-labeled goat anti-rabbit IgG (red).
- Sample type
- cell line
Supportive validation
- Submitted by
- Proteintech Group (provider)
- Main image

- Experimental details
- Immunohistochemical of paraffin-embedded human liver cancer using 15126-1-AP(GOLM1 antibody) at dilution of 1:100 (under 10x lens)
- Sample type
- tissue
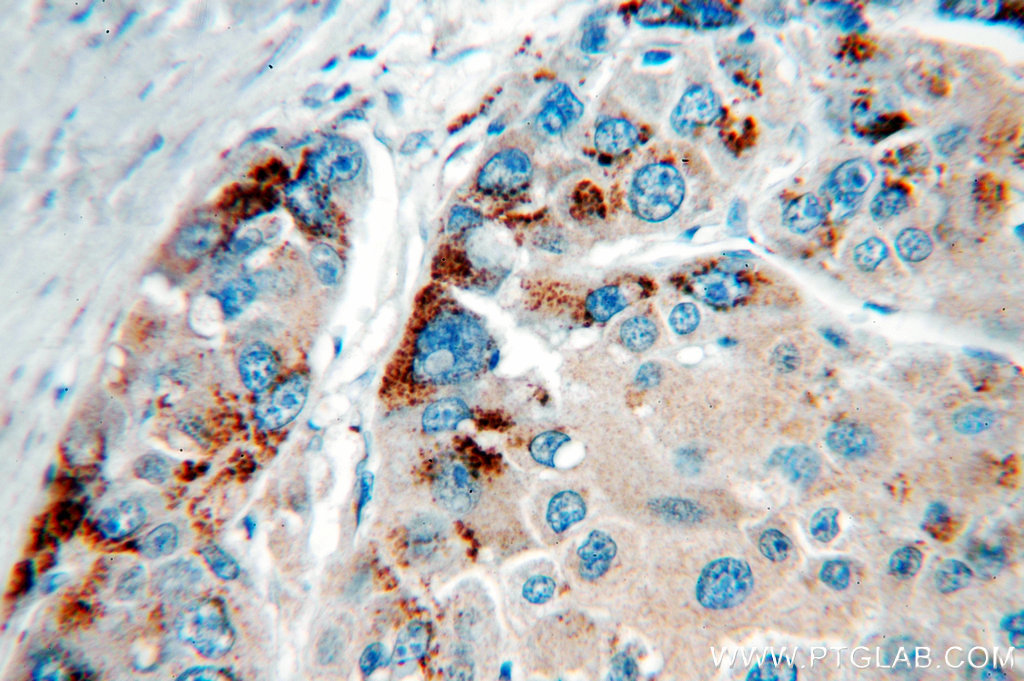
- Submitted by
- Proteintech Group (provider)
- Main image

- Experimental details
- Immunohistochemical of paraffin-embedded human liver cancer using 15126-1-AP(GOLM1 antibody) at dilution of 1:100 (under 40x lens)
- Sample type
- tissue