Antibody data
- Antibody Data
- Antigen structure
- References [2]
- Comments [0]
- Validations
- Western blot [2]
- Immunohistochemistry [1]
Submit
Validation data
Reference
Comment
Report error
- Product number
- NBP2-13169 - Provider product page

- Provider
- Novus Biologicals
- Product name
- Mouse Monoclonal A2BP1 Antibody
- Antibody type
- Monoclonal
- Description
- Protein G purified. Does not cross react with paralogue FOX2
- Reactivity
- Human, Mouse
- Host
- Mouse
- Isotype
- IgG
- Vial size
- 0.1 ml
- Concentration
- 1.0 mg/ml
- Storage
- Store at 4C short term. Aliquot and store at -20C long term. Avoid freeze-thaw cycles.
Submitted references Characterization of the human GnRH neuron developmental transcriptome using a GNRH1-TdTomato reporter line in human pluripotent stem cells.
Downregulation of splicing regulator RBFOX1 compromises visual depth perception.
Lund C, Yellapragada V, Vuoristo S, Balboa D, Trova S, Allet C, Eskici N, Pulli K, Giacobini P, Tuuri T, Raivio T
Disease models & mechanisms 2020 Mar 13;13(3)
Disease models & mechanisms 2020 Mar 13;13(3)
Downregulation of splicing regulator RBFOX1 compromises visual depth perception.
Gu L, Bok D, Yu F, Caprioli J, Piri N
PloS one 2018;13(7):e0200417
PloS one 2018;13(7):e0200417
No comments: Submit comment
Supportive validation
- Submitted by
- Novus Biologicals (provider)
- Main image

- Experimental details
- Western Blot: A2BP1 Antibody (D8H8) [NBP2-13169] - Western blot analysis of A2BP1 expression in 1) human brain and 2) mouse brain tissue lysates.
- Submitted by
- Novus Biologicals (provider)
- Main image

- Experimental details
- Simple Western: A2BP1 Antibody (D8H8) [NBP2-13169] - Simple Western lane view shows a specific band for A2BP1 in 0.5 mg/ml of Human Brain lysate. This experiment was performed under reducing conditions using the 12-230 kDa separation system.
Supportive validation
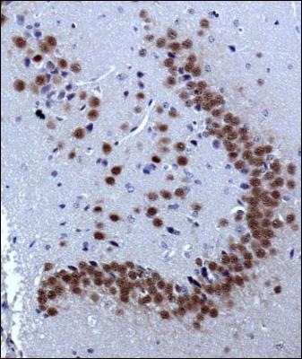
- Submitted by
- Novus Biologicals (provider)
- Main image

- Experimental details
- Immunohistochemistry: A2BP1 Antibody (D8H8) [NBP2-13169] - IHC staining of A2BP1 in mouse brain using DAB with hematoxylin counterstain.