Antibody data
- Antibody Data
- Antigen structure
- References [0]
- Comments [0]
- Validations
- Western blot [1]
- Flow cytometry [1]
Submit
Validation data
Reference
Comment
Report error
- Product number
- RQ8251 - Provider product page

- Provider
- NSJ Bioreagents
- Product name
- TTC39B Antibody / C9orf52
- Antibody type
- Polyclonal
- Description
- This highly specific TTC39B antibody is suitable for use in Western blot/Flow cytometry/Direct ELISA applications with human, mouse and rat samples.
- Reactivity
- Human, Mouse, Rat
- Host
- Rabbit
- Conjugate
- Unconjugated
- Vial size
- 100 ug
- Concentration
- 0.5mg/ml if reconstituted with 0.2ml sterile DI water
- Storage
- After reconstitution, the TTC39B antibody can be stored for up to one month at 4oC. For long-term, aliquot and store at -20oC. Avoid repeated freezing and thawing.
No comments: Submit comment
Supportive validation
- Submitted by
- NSJ Bioreagents (provider)
- Main image

- Experimental details
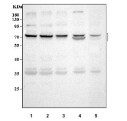
- Western blot testing of 1) human 293T, 2) human Raji, 3) human K562, 4) rat testis and 5) mouse testis tissue lysate with TTC39B antibody. Predicted molecular weight: 59-77 kDa, ~23 kDa (multiple isoforms).
Supportive validation
- Submitted by
- NSJ Bioreagents (provider)
- Main image

- Experimental details
- Flow cytometry testing of fixed and permeabilized human HepG2 cells with TTC39B antibody at 1ug/million cells (blocked with goat sera); Red=cells alone, Green=isotype control, Blue= TTC39B antibody.