Antibody data
- Antibody Data
- Antigen structure
- References [0]
- Comments [0]
- Validations
- Western blot [2]
- Immunohistochemistry [1]
Submit
Validation data
Reference
Comment
Report error
- Product number
- GTX125938 - Provider product page

- Provider
- GeneTex
- Proper citation
- GeneTex Cat#GTX125938, RRID:AB_11163730
- Product name
- TTC39B antibody
- Antibody type
- Polyclonal
- Reactivity
- Human
- Host
- Rabbit
No comments: Submit comment
Supportive validation
- Submitted by
- GeneTex (provider)
- Main image

- Experimental details
- Sample (5 ug of whole cell lysate) A: Non-transfected 293T lysates B: TTC39B transfected 293T lysates 7.5% SDS PAGE GTX125938 diluted at 1:10000
- Submitted by
- GeneTex (provider)
- Main image

- Experimental details
- Sample (30 ug of whole cell lysate) A: Raji B: K562 C: THP-1 D: NCI-H929 7.5% SDS PAGE GTX125938 diluted at 1:10000
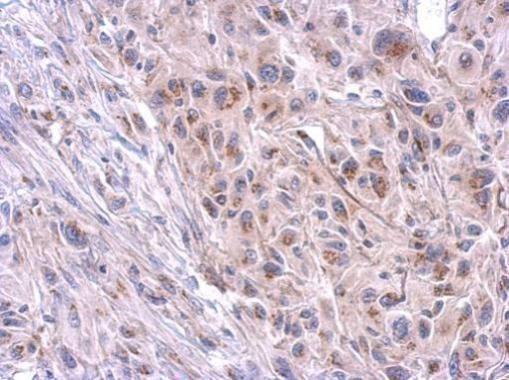
Supportive validation
- Submitted by
- GeneTex (provider)
- Main image

- Experimental details
- Immunohistochemical analysis of paraffin-embedded U373 xenograft, using TTC39B antibody(GTX125938) antibody at 1:500 dilution.