Antibody data
- Antibody Data
- Antigen structure
- References [0]
- Comments [0]
- Validations
- Western blot [2]
Submit
Validation data
Reference
Comment
Report error
- Product number
- A301-833A - Provider product page

- Provider
- Invitrogen Antibodies
- Product name
- PAM Polyclonal Antibody
- Antibody type
- Polyclonal
- Antigen
- Other
- Reactivity
- Human
- Host
- Rabbit
- Isotype
- IgG
- Vial size
- 100 µL
- Concentration
- 0.20 mg/mL
- Storage
- 4° C
No comments: Submit comment
Supportive validation
- Submitted by
- Invitrogen Antibodies (provider)
- Main image

- Experimental details
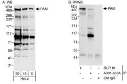
- Detection of human PAM by western blot and immunoprecipitation. Samples: Whole cell lysate (50 µg for WB; 1 mg for IP, 20% of IP loaded) from HeLa cells. Antibodies: Affinity purified rabbit anti-PAM antibody (Product # A301-833A) used for WB at 0.04 µg/mL (A) and 1 µg/mL (B) and used for IP at 3 µg/mg lysate. PAM was also immunoprecipitated by rabbit anti-PAM antibody BL7116, which recognizes an upstream epitope. Detection: Chemiluminescence with exposure times of 3 seconds (A) and 1 second (B).
- Submitted by
- Invitrogen Antibodies (provider)
- Main image

- Experimental details
- Detection of human PAM by western blot. Samples: Whole cell lysate (50 µg for WB; 1 mg for IP, 20% of IP loaded) from HeLa cells. Antibodies: Affinity purified rabbit anti-PAM antibody A301-833A used for WB at 0.04 µg/ml (A) and 1 µg/ml (B) and used for IP at 3 µg/mg lysate. PAM was also immunoprecipitated by rabbit anti-PAM antibody A301-832A, which recognizes an upstream epitope. Detection: Chemiluminescence with exposure times of 3 seconds (A) and 1 second (B).