Antibody data
- Antibody Data
- Antigen structure
- References [0]
- Comments [0]
- Validations
- Immunocytochemistry [2]
- Immunohistochemistry [1]
Submit
Validation data
Reference
Comment
Report error
- Product number
- PA5-52641 - Provider product page

- Provider
- Invitrogen Antibodies
- Product name
- GALNT5 Polyclonal Antibody
- Antibody type
- Polyclonal
- Antigen
- Recombinant protein fragment
- Description
- Immunogen sequence: MKPPLRGHGK GAWGKENVRK TEESVLKVEV DLDQTQRERK MQNALGRGKV VPLWHPAHLQ TLPVTPNKQK TDGRGTKPEA SSHQGTPKQT TAQGAPKTSF IAAKGTQVVK ISVHMGRVSL KQEPR Highest antigen sequence identity to the following orthologs: Mouse - 51%, Rat - 50%.
- Reactivity
- Human
- Host
- Rabbit
- Isotype
- IgG
- Vial size
- 100 μL
- Concentration
- 0.4 mg/mL
- Storage
- Store at 4°C short term. For long term storage, store at -20°C, avoiding freeze/thaw cycles.
No comments: Submit comment
Supportive validation
- Submitted by
- Invitrogen Antibodies (provider)
- Main image

- Experimental details
- Immunofluorescent staining of GALNT5 in human cell line BJ using a GALNT5 Polyclonal Antibody (Product # PA5-52641) shows localization to cytosol and the Golgi apparatus.
- Submitted by
- Invitrogen Antibodies (provider)
- Main image

- Experimental details
- Immunofluorescent staining of GALNT5 in human cell line BJ using a GALNT5 Polyclonal Antibody (Product # PA5-52641) shows localization to cytosol and the Golgi apparatus.
Supportive validation
- Submitted by
- Invitrogen Antibodies (provider)
- Main image

- Experimental details
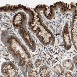
- Immunohistochemical staining of GALNT5 in human stomach using a GALNT5 Polyclonal Antibody (Product # PA5-52641) shows strong cytoplasmic positivity with a granular pattern in glandular cells.