Antibody data
- Antibody Data
- Antigen structure
- References [5]
- Comments [0]
- Validations
- Western blot [1]
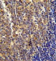
- Immunohistochemistry [1]
- Flow cytometry [1]
Submit
Validation data
Reference
Comment
Report error
- Product number
- ABIN953261 - Provider product page

- Provider
- antibodies-online
- Product name
- anti-LYR Motif Containing 4 (LYRM4) (AA 46-73), (Middle Region) antibody
- Antibody type
- Polyclonal
- Description
- Protein A column, followed by peptide affinity purification
- Reactivity
- Human
- Host
- Rabbit
- Epitope
- AA 46-73, Middle Region
- Vial size
- 0.4 mL
- Storage
- Store undiluted at 2-8°C for one month or (in aliquots) at -20°C for longer.
- Handling
- Avoid repeated freezing and thawing.
Submitted references Variation at the NFATC2 locus increases the risk of thiazolidinedione-induced edema in the Diabetes REduction Assessment with ramipril and rosiglitazone Medication (DREAM) study.
Genetic risk profiling and prediction of disease course in Crohn's disease patients.
Gene-centric association signals for lipids and apolipoproteins identified via the HumanCVD BeadChip.
Confirmation of multiple Crohn's disease susceptibility loci in a large Dutch-Belgian cohort.
Human ISD11 is essential for both iron-sulfur cluster assembly and maintenance of normal cellular iron homeostasis.
Bailey SD, Xie C, Do R, Montpetit A, Diaz R, Mohan V, Keavney B, Yusuf S, Gerstein HC, Engert JC, Anand S, DREAM investigators.
Diabetes care 2010 Oct;33(10):2250-3
Diabetes care 2010 Oct;33(10):2250-3
Genetic risk profiling and prediction of disease course in Crohn's disease patients.
Henckaerts L, Van Steen K, Verstreken I, Cleynen I, Franke A, Schreiber S, Rutgeerts P, Vermeire S
Clinical gastroenterology and hepatology : the official clinical practice journal of the American Gastroenterological Association 2009 Sep;7(9):972-980.e2
Clinical gastroenterology and hepatology : the official clinical practice journal of the American Gastroenterological Association 2009 Sep;7(9):972-980.e2
Gene-centric association signals for lipids and apolipoproteins identified via the HumanCVD BeadChip.
Talmud PJ, Drenos F, Shah S, Shah T, Palmen J, Verzilli C, Gaunt TR, Pallas J, Lovering R, Li K, Casas JP, Sofat R, Kumari M, Rodriguez S, Johnson T, Newhouse SJ, Dominiczak A, Samani NJ, Caulfield M, Sever P, Stanton A, Shields DC, Padmanabhan S, Melander O, Hastie C, Delles C, Ebrahim S, Marmot MG, Smith GD, Lawlor DA, Munroe PB, Day IN, Kivimaki M, Whittaker J, Humphries SE, Hingorani AD, ASCOT investigators., NORDIL investigators., BRIGHT Consortium.
American journal of human genetics 2009 Nov;85(5):628-42
American journal of human genetics 2009 Nov;85(5):628-42
Confirmation of multiple Crohn's disease susceptibility loci in a large Dutch-Belgian cohort.
Weersma RK, Stokkers PC, Cleynen I, Wolfkamp SC, Henckaerts L, Schreiber S, Dijkstra G, Franke A, Nolte IM, Rutgeerts P, Wijmenga C, Vermeire S
The American journal of gastroenterology 2009 Mar;104(3):630-8
The American journal of gastroenterology 2009 Mar;104(3):630-8
Human ISD11 is essential for both iron-sulfur cluster assembly and maintenance of normal cellular iron homeostasis.
Shi Y, Ghosh MC, Tong WH, Rouault TA
Human molecular genetics 2009 Aug 15;18(16):3014-25
Human molecular genetics 2009 Aug 15;18(16):3014-25
No comments: Submit comment
Supportive validation
- Submitted by
- antibodies-online (provider)
- Main image

- Experimental details
- WB
Supportive validation
- Submitted by
- antibodies-online (provider)
- Main image

- Experimental details
- IHC
Supportive validation
- Submitted by
- antibodies-online (provider)
- Main image

- Experimental details
- FACS