Antibody data
- Antibody Data
- Antigen structure
- References [0]
- Comments [0]
- Validations
- Immunohistochemistry [1]
Submit
Validation data
Reference
Comment
Report error
- Product number
- PA5-49359 - Provider product page

- Provider
- Invitrogen Antibodies
- Product name
- Anti-ECHDC3 Polyclonal Antibody
- Antibody type
- Polyclonal
- Antigen
- Synthetic peptide
- Reactivity
- Human
- Host
- Rabbit
- Isotype
- IgG
- Vial size
- 400 µl
- Concentration
- Lot Dependent
- Storage
- -20° C, Avoid Freeze/Thaw Cycles
No comments: Submit comment
Supportive validation
- Submitted by
- Invitrogen Antibodies (provider)
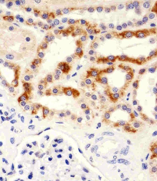
- Main image

- Experimental details
- Immunohistochemical analysis of ECHDC3 in paraffin-embedded human kidney tissue. Samples were probed using a ECHDC3 Antibody (N-term) (Product # PA5-49359) at a 1:25 dilution. A peroxidase-conjugated goat anti-rabbit IgG at a 1:400 dilution was used as the secondary antibody, followed by DAB staining.