Antibody data
- Antibody Data
- Antigen structure
- References [0]
- Comments [0]
- Validations
- Immunohistochemistry [1]
Submit
Validation data
Reference
Comment
Report error
- Product number
- PAB21933 - Provider product page

- Provider
- Abnova Corporation
- Proper citation
- Abnova Corporation Cat#PAB21933, RRID:AB_10964005
- Product name
- EPGN polyclonal antibody
- Antibody type
- Polyclonal
- Antigen
- Recombinant protein corresponding to amino acids of human EPGN.
- Reactivity
- Human
- Host
- Rabbit
- Antigen sequence
ALTEEAAVTVTPPITAQQGNWTVNKTEADNIEGPI
ALKFSHLCLEDHNSYCINGACAFHHELEKAICRCF
TGYTGERCEHLTLTSYAVDSYE- Isotype
- IgG
- Vial size
- 100 μl
- Storage
- Store at 4°C. For long term storage store at -20°C.Aliquot to avoid repeated freezing and thawing.
No comments: Submit comment
Supportive validation
- Submitted by
- Abnova Corporation (provider)
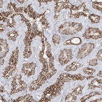
- Main image

- Experimental details
- Immunohistochemical staining of human seminal vesicle with EPGN polyclonal antibody (Cat # PAB21933) shows strong membranous and cytoplasmic positivity in glandular cells.
- Validation comment
- Immunohistochemistry (Formalin/PFA-fixed paraffin-embedded sections)