Antibody data
- Antibody Data
- Antigen structure
- References [0]
- Comments [0]
- Validations
- Immunohistochemistry [1]
Submit
Validation data
Reference
Comment
Report error
- Product number
- 11556-1-AP - Provider product page

- Provider
- Proteintech Group
- Product name
- FBXL18 antibody
- Antibody type
- Polyclonal
- Description
- FBXL18 antibody (Cat. #11556-1-AP) is a rabbit polyclonal antibody that shows reactivity with human, mouse, rat and has been validated for the following applications: IHC,ELISA.
- Reactivity
- Human, Mouse, Rat
- Host
- Rabbit
- Conjugate
- Unconjugated
- Isotype
- IgG
- Vial size
- 20ul, 150ul
No comments: Submit comment
Supportive validation
- Submitted by
- Proteintech Group (provider)
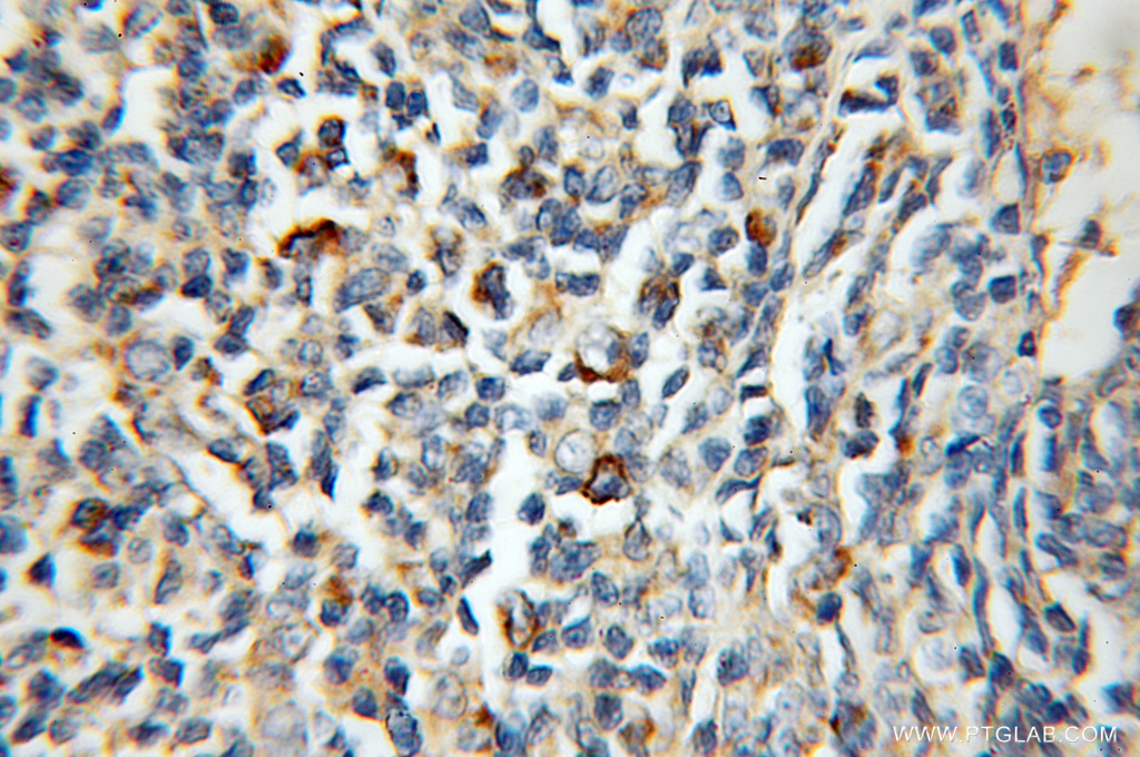
- Main image

- Experimental details
- Immunohistochemical of paraffin-embedded human lymphoma using 11556-1-AP(FBXL18 antibody) at dilution of 1:100 (under 10x lens)
- Other comments
- IHC