Antibody data
- Antibody Data
- Antigen structure
- References [0]
- Comments [0]
- Validations
- Western blot [1]
- Immunohistochemistry [1]
Submit
Validation data
Reference
Comment
Report error
- Product number
- AP30986PU-N - Provider product page

- Provider
- Acris Antibodies GmbH
- Proper citation
- Acris Antibodies GmbH Cat#AP30986PU-N, RRID:AB_10670015
- Product name
- anti WNT10A
- Antibody type
- Polyclonal
- Antigen
- Wnt10a antibody was raised against a 14 amino acid peptide from near the carboxy terminus of human Wnt10a.
- Reactivity
- Human, Mouse, Rat
- Host
- Rabbit
- Isotype
- IgG
- Vial size
- 0.1 mg
No comments: Submit comment
Supportive validation
- Submitted by
- Acris Antibodies GmbH (provider)
- Main image

- Experimental details
- Western blot analysis of Wnt10a in RAW264.7 cell lysate with AP30986PU-N at (A) 1 and (B) 2 μg/ml.
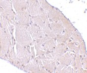
Supportive validation
- Submitted by
- Acris Antibodies GmbH (provider)
- Main image

- Experimental details
- Immunohistochemistry of Wnt10a in human skeletal muscle tissue cells with AP30986PU-N at 10 μg/ml.