Antibody data
- Antibody Data
- Antigen structure
- References [0]
- Comments [0]
- Validations
- Immunohistochemistry [1]
Submit
Validation data
Reference
Comment
Report error
- Product number
- LS-B890 - Provider product page

- Provider
- LSBio
- Proper citation
- LifeSpan Cat#LS-B890, RRID:AB_2265922
- Product name
- MAGEB3 Antibody (aa47-61) IHC-plus™ LS-B890
- Antibody type
- Polyclonal
- Description
- Protein G purified
- Reactivity
- Human
- Host
- Rabbit
- Storage
- Short term: 4°C. Long term: Store at -20°C. Avoid freeze-thaw cycles.
No comments: Submit comment
Supportive validation
- Submitted by
- LSBio (provider)
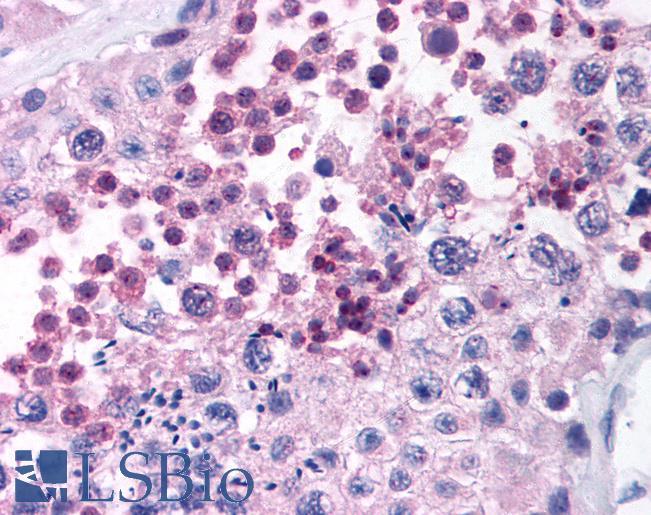
- Main image

- Experimental details
- Anti-MAGEB3 antibody IHC of human testis. Immunohistochemistry of formalin-fixed, paraffin-embedded tissue after heat-induced antigen retrieval. Antibody LS-B890 concentration 5 ug/ml.