Antibody data
- Antibody Data
- Antigen structure
- References [0]
- Comments [0]
- Validations
- Western blot [1]
- Immunohistochemistry [1]
Submit
Validation data
Reference
Comment
Report error
- Product number
- TA808750 - Provider product page

- Provider
- OriGene
- Proper citation
- OriGene Cat#TA808750, RRID:AB_2628973
- Product name
- MAGEB3 mouse monoclonal antibody, clone OTI5H8 (formerly 5H8)
- Antibody type
- Monoclonal
- Description
- MAGEB3 mouse monoclonal antibody, clone OTI5H8 (formerly 5H8)
- Host
- Mouse
- Conjugate
- Unconjugated
- Epitope
- MAGEB3
- Isotype
- IgG
- Antibody clone number
- OTI5H8
- Vial size
- 100 µl
- Concentration
- 1.00mg/ml
No comments: Submit comment
Supportive validation
- Submitted by
- OriGene (provider)
- Main image

- Experimental details
- HEK293T cells were transfected with the pCMV6-ENTRY control (Left lane) or pCMV6-ENTRY MAGEB3 (RC210237, Right lane) cDNA for 48 hrs and lysed. Equivalent amounts of cell lysates (5 ug per lane) were separated by SDS-PAGE and immunoblotted with anti-MAGEB3.(1:2000)
- Validation comment
- WB
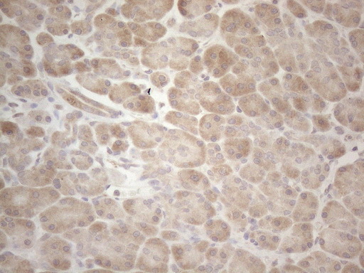
Supportive validation
- Submitted by
- OriGene (provider)
- Main image

- Experimental details
- Immunohistochemical staining of paraffin-embedded Human pancreas tissue within the normal limits using anti-MAGEB3 mouse monoclonal antibody. (Heat-induced epitope retrieval by 1mM EDTA in 10mM Tris buffer (pH8.5) at 120?°C for 3 min, TA808750)(1:150)
- Validation comment
- IHC