Antibody data
- Antibody Data
- Antigen structure
- References [0]
- Comments [0]
- Validations
- Immunocytochemistry [2]
- Immunohistochemistry [1]
Submit
Validation data
Reference
Comment
Report error
- Product number
- PA5-57158 - Provider product page

- Provider
- Invitrogen Antibodies
- Product name
- C21orf58 Polyclonal Antibody
- Antibody type
- Polyclonal
- Antigen
- Recombinant protein fragment
- Description
- Immunogen sequence: TSLRKPWKLD RQKLPSPDSG HSLLCGWSPG GKARPAGNTG AWAPAEQFFP ASNRTREGGG LWP Highest antigen sequence identity to the following orthologs: Mouse - 29%, Rat - 31%.
- Reactivity
- Human
- Host
- Rabbit
- Isotype
- IgG
- Vial size
- 100 μL
- Concentration
- 0.05 mg/mL
- Storage
- Store at 4°C short term. For long term storage, store at -20°C, avoiding freeze/thaw cycles.
No comments: Submit comment
Supportive validation
- Submitted by
- Invitrogen Antibodies (provider)
- Main image

- Experimental details
- Immunofluorescent staining of C21orf58 in human cell line A-431 shows positivity in nucleus but excluded from the nucleoli. Samples were probed using a C21orf58 Polyclonal Antibody (Product # PA5-57158).
- Submitted by
- Invitrogen Antibodies (provider)
- Main image

- Experimental details
- Immunofluorecent analysis of C21orf58 in human cell line A-431 using C21orf58 Polyclonal Antibody (Product # PA5-57158). Staining shows localization to nucleoplasm.
Supportive validation
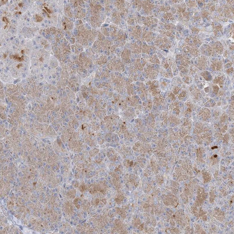
- Submitted by
- Invitrogen Antibodies (provider)
- Main image

- Experimental details
- Immunohistochemical analysis of C21orf58 in human pancreas using C21orf58 Polyclonal Antibody (Product # PA5-57158) shows moderate cytoplasmic positivity in exocrine glandular cells.