Antibody data
- Antibody Data
- Antigen structure
- References [0]
- Comments [0]
- Validations
- Immunohistochemistry [2]
Submit
Validation data
Reference
Comment
Report error
- Product number
- AM20968PU-N - Provider product page

- Provider
- OriGene
- Product name
- CDKL2 mouse monoclonal antibody, clone 1F6
- Antibody type
- Monoclonal
- Description
- CDKL2 mouse monoclonal antibody, clone 1F6
- Host
- Mouse
- Conjugate
- Unconjugated
- Epitope
- CDKL2
- Isotype
- IgG
- Antibody clone number
- 1F6
- Vial size
- 50 µg
- Concentration
- NULL
No comments: Submit comment
Supportive validation
- Submitted by
- OriGene (provider)
- Main image

- Experimental details
- Testis: Formalin-Fixed, Paraffin-Embedded (FFPE)
- Validation comment
- IHC
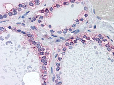
- Submitted by
- OriGene (provider)
- Main image

- Experimental details
- Human Thyroid: Formalin-Fixed, Paraffin-Embedded (FFPE)
- Validation comment
- IHC