Antibody data
- Antibody Data
- Antigen structure
- References [0]
- Comments [0]
- Validations
- Western blot [2]
- Immunoprecipitation [1]
Submit
Validation data
Reference
Comment
Report error
- Product number
- NBP1-26592 - Provider product page

- Provider
- Novus Biologicals
- Proper citation
- Novus Cat#NBP1-26592, RRID:AB_1853511
- Product name
- Rabbit Polyclonal NAP1 Antibody
- Antibody type
- Polyclonal
- Description
- Immunogen affinity purified.
- Reactivity
- Human, Mouse
- Host
- Rabbit
- Isotype
- IgG
- Vial size
- 100 ul
- Concentration
- 1.0 mg/ml
- Storage
- Store at 4C. Do not freeze.
No comments: Submit comment
Supportive validation
- Submitted by
- Novus Biologicals (provider)
- Main image

- Experimental details
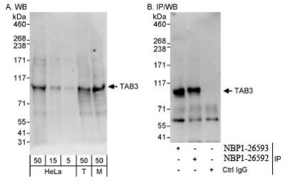
- Western Blot: NAP1 Antibody [NBP1-26592] - Detection of Human and Mouse TAB3 by Western Blot. Samples: Whole cell lysate (50, 15 ug) from 293T and (50 ug) from HeLa and mouse NIH3T3 cells prepared using NETN lysis buffer. Antibody: Affinity purified rabbit anti-TAB3 antibody NBP1-26592 used for WB at 0.1 ug/ml. Detection: Chemiluminescence with an exposure time of 3 minutes.
- Submitted by
- Novus Biologicals (provider)
- Main image

- Experimental details
- Western Blot: NAP1 Antibody [NBP1-26592] - Whole cell lysate from HeLa, 293T and mouse NIH3T3 cells. TAB3 was also immunoprecipitated by rabbit anti-TAB3 antibody NBP1-26593.
Supportive validation
- Submitted by
- Novus Biologicals (provider)
- Main image

- Experimental details
- Immunoprecipitation: NAP1 Antibody [NBP1-26592] - Detection of human TAB3 by western blot of immunoprecipitates. Samples: Whole cell lysate (0.5 or 1.0 mg per IP reaction; 20% of IP loaded) from HEK293T cells prepared using NETN lysis buffer. Antibodies: Affinity purified rabbit anti-TAB3 antibody NBP1-26592 (lot NBP1-26592-2) used for IP at 6 ug per reaction. TAB3 was also immunoprecipitated by a previous lot of this antibody (lot NBP1-26592-1). For blotting immunoprecipitated TAB3, NBP1-26592 was used at 0.4 ug/ml. Detection: Chemiluminescence with an exposure time of 60 seconds.