Antibody data
- Antibody Data
- Antigen structure
- References [0]
- Comments [0]
- Validations
- Immunocytochemistry [3]
- Immunohistochemistry [4]
Submit
Validation data
Reference
Comment
Report error
- Product number
- PA5-63032 - Provider product page

- Provider
- Invitrogen Antibodies
- Product name
- RPS23 Polyclonal Antibody
- Antibody type
- Polyclonal
- Antigen
- Recombinant protein fragment
- Description
- Immunogen sequence: CRGLRTARKL RSHRRDQKWH DKQYKKAHLG TALKANPFGG ASHAKGIVLE KVGVEAKQPN SAIRKCVRVQ Highest antigen sequence identity to the following orthologs: Mouse - 100%, Rat - 100%.
- Reactivity
- Human
- Host
- Rabbit
- Isotype
- IgG
- Vial size
- 100 μL
- Concentration
- 0.05 mg/mL
- Storage
- Store at 4°C short term. For long term storage, store at -20°C, avoiding freeze/thaw cycles.
No comments: Submit comment
Supportive validation
- Submitted by
- Invitrogen Antibodies (provider)
- Main image

- Experimental details
- Immunofluorescent staining of RPS23 in human cell line MCF7 shows positivity in nucleoli & cytoplasm. Samples were probed using a RPS23 Polyclonal Antibody (Product # PA5-63032).
- Submitted by
- Invitrogen Antibodies (provider)
- Main image

- Experimental details
- Immunofluorescent staining of RPS23 in human cell line MCF7 using a RPS23 Polyclonal Antibody (Product # PA5-63032) shows localization to cytosol and endoplasmic reticulum.
- Submitted by
- Invitrogen Antibodies (provider)
- Main image

- Experimental details
- Immunofluorescent staining of RPS23 in human cell line MCF7 using a RPS23 Polyclonal Antibody (Product # PA5-63032) shows localization to cytosol and endoplasmic reticulum.
Supportive validation
- Submitted by
- Invitrogen Antibodies (provider)
- Main image

- Experimental details
- Immunohistochemical analysis of RPS23 in human cerebral cortex using RPS23 Polyclonal Antibody (Product # PA5-63032) shows moderate cytoplasmic positivity in neurons.
- Submitted by
- Invitrogen Antibodies (provider)
- Main image

- Experimental details
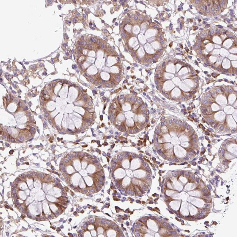
- Immunohistochemical analysis of RPS23 in human colon using RPS23 Polyclonal Antibody (Product # PA5-63032) shows moderate cytoplasmic positivity in glandular cells.
- Submitted by
- Invitrogen Antibodies (provider)
- Main image

- Experimental details
- Immunohistochemical analysis of RPS23 in human lymph node using RPS23 Polyclonal Antibody (Product # PA5-63032) shows moderate cytoplasmic positivity in germinal center cells.
- Submitted by
- Invitrogen Antibodies (provider)
- Main image

- Experimental details
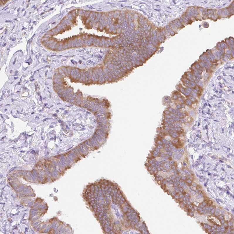
- Immunohistochemical analysis of RPS23 in human fallopian tube using RPS23 Polyclonal Antibody (Product # PA5-63032) shows moderate cytoplasmic positivity in glandular cells.