20641-1-AP
antibody from Proteintech Group
Targeting: RMDN3
FAM82A2, FAM82C, FLJ10579, PTPIP51, RMD3
Antibody data
- Antibody Data
- Antigen structure
- References [31]
- Comments [0]
- Validations
- Western blot [1]
- Immunocytochemistry [1]
- Immunohistochemistry [2]
Submit
Validation data
Reference
Comment
Report error
- Product number
- 20641-1-AP - Provider product page

- Provider
- Proteintech Group
- Proper citation
- Proteintech Cat#20641-1-AP, RRID:AB_10695187
- Product name
- PTPIP51 antibody
- Antibody type
- Polyclonal
- Description
- PTPIP51 antibody (Cat. #20641-1-AP) is a rabbit polyclonal antibody that shows reactivity with human and has been validated for the following applications: IF, IHC, IP, WB, ELISA.
- Reactivity
- Human
- Host
- Rabbit
- Conjugate
- Unconjugated
- Isotype
- IgG
- Vial size
- 20ul, 150ul
Submitted references STIM1-containing contact sites promote direct calcium flux from the endoplasmic reticulum to mitochondria.
Endoplasmic reticulum-mitochondria contact sites are signalling hubs connecting nutrient sensing and GLP-1 secretion in L cells of the mouse gut: from physiology to obesity and type 2 diabetes.
Fasting Enhances Cardiomyocyte Hypoxia Tolerance by Regulating Ca(2+) Transport at Mitochondria-Endoplasmic Reticulum Contact Sites.
Pathogenic mechanisms of amyotrophic lateral sclerosis-linked VAPB P56S mutation in the degeneration of corticospinal motor neurons.
Serine-129 phosphorylated α-synuclein drives mitochondrial dysfunction and calcium dysregulation in Parkinson's disease model.
Convergent activation of the integrated stress response and ER-mitochondria uncoupling in VAPB-associated ALS.
SHBs Mitigates Sorafenib-Induced Apoptosis in Hepatocellular Carcinoma via Activation of RAF1/MEK/ERK Signaling Pathway.
Peri-mitochondrial actin filaments inhibit Parkin assembly by disrupting ER-mitochondria contacts.
Fluoride induces spermatocyte apoptosis by IP3R1/MCU-mediated mitochondrial calcium overload through MAMs.
Elevating VAPB-PTPIP51 integration repairs damaged mitochondria-associated endoplasmic reticulum membranes and inhibits lung fibroblasts activation.
Bridging the gap: investigating the role of phosphorylation at the serine 129 site of α-synuclein in VAPB-PTPIP51 interactions.
ER-mitochondria contacts mediate lipid radical transfer via RMDN3/PTPIP51 phosphorylation to reduce mitochondrial oxidative stress.
Changes in the endoplasmic reticulum‑mitochondria communication in dermal fibroblasts from early‑stage bipolar disorder patients: Skin‑brain axis as a new route to understand the pathophysiology of mental illness?
RHOA regulates mitochondria-ER contact sites through modulation of the VAPB/PTPIP51 tether.
Development of a Signal-integrating Reporter to Monitor Mitochondria-ER Contacts.
Nup358 restricts ER-mitochondria connectivity by modulating mTORC2/Akt/GSK3β signalling.
GRP75-dependent mitochondria-ER contacts ensure cell survival during early mouse thymocyte development.
Mitochondrial dysfunction heightens the integrated stress response to drive ALS pathogenesis.
Development of a signal-integrating reporter to monitor mitochondria-ER contacts.
The anticancer effect of metformin targets VDAC1 via ER-mitochondria interactions-mediated autophagy in HCC.
Mitochondria-associated endoplasmic reticulum membranes tethering protein VAPB-PTPIP51 protects against ischemic stroke through inhibiting the activation of autophagy.
Disruption of Mitochondrial-associated ER membranes by HIV-1 tat protein contributes to premature brain aging.
ER-mitochondria contacts and cholesterol metabolism are disrupted by disease-associated tau protein.
PTPIP51 inhibits non-small-cell lung cancer by promoting PTEN-mediated EGFR degradation.
Atlastin 2/3 regulate ER targeting of the ULK1 complex to initiate autophagy.
The role of Mfn2 in the structure and function of endoplasmic reticulum-mitochondrial tethering in vivo.
MIROs and DRP1 drive mitochondrial-derived vesicle biogenesis and promote quality control.
VPS13D interacts with VCP/p97 and negatively regulates endoplasmic reticulum-mitochondria interactions.
A High-Density Human Mitochondrial Proximity Interaction Network.
Proteomics-Based Approach Identifies Altered ER Domain Properties by ALS-Linked VAPB Mutation.
The ER-Localized Transmembrane Protein EPG-3/VMP1 Regulates SERCA Activity to Control ER-Isolation Membrane Contacts for Autophagosome Formation.
Orantos-Aguilera Y, Sanchez-Lopez I, Pascual-Caro C, Gómez-Suaga P, Area-Gomez E, Pozo-Guisado E, Montesinos J, Martin-Romero FJ
The EMBO journal 2026 Mar;45(5):1760-1793
The EMBO journal 2026 Mar;45(5):1760-1793
Endoplasmic reticulum-mitochondria contact sites are signalling hubs connecting nutrient sensing and GLP-1 secretion in L cells of the mouse gut: from physiology to obesity and type 2 diabetes.
Humbert A, Nawrot M, Bendridi N, Gouriou Y, Bertocchini N, Chauvin MA, Ji-Cao J, Durand C, Vieille-Marchiset A, Pinteur C, Morio B, Reimann F, Guerci B, Ravier MA, Lestavel S, Rieusset J
Diabetologia 2026 Mar 8;
Diabetologia 2026 Mar 8;
Fasting Enhances Cardiomyocyte Hypoxia Tolerance by Regulating Ca(2+) Transport at Mitochondria-Endoplasmic Reticulum Contact Sites.
Chen X, Jiao B, Xue T, Xie M, Yu Z
International journal of molecular sciences 2026 Feb 24;27(5)
International journal of molecular sciences 2026 Feb 24;27(5)
Pathogenic mechanisms of amyotrophic lateral sclerosis-linked VAPB P56S mutation in the degeneration of corticospinal motor neurons.
Yang X, Zheng J, Wang X, Cai H, Yu J
Ageing and neurodegenerative diseases 2025;5(3)
Ageing and neurodegenerative diseases 2025;5(3)
Serine-129 phosphorylated α-synuclein drives mitochondrial dysfunction and calcium dysregulation in Parkinson's disease model.
Jiao J, Liu W, Gao G, Yang H
Frontiers in aging neuroscience 2025;17:1538166
Frontiers in aging neuroscience 2025;17:1538166
Convergent activation of the integrated stress response and ER-mitochondria uncoupling in VAPB-associated ALS.
Landry C, Costanzo JP, Mitne-Neto M, Zatz M, Schaffer AE, Hatzoglou M, Muotri AR, Miranda HC
EMBO molecular medicine 2025 Sep;17(9):2299-2331
EMBO molecular medicine 2025 Sep;17(9):2299-2331
SHBs Mitigates Sorafenib-Induced Apoptosis in Hepatocellular Carcinoma via Activation of RAF1/MEK/ERK Signaling Pathway.
Wu S, Hong Y, Li H, Lin M, Lin X, Lin X, Lin X
Cancer science 2025 Sep;116(9):2471-2485
Cancer science 2025 Sep;116(9):2471-2485
Peri-mitochondrial actin filaments inhibit Parkin assembly by disrupting ER-mitochondria contacts.
Fung TS, Ghosh A, Zavala MR, Nichtova Z, Shukal D, Tigano M, Csordas G, Higgs HN, Chakrabarti R
EMBO reports 2025 Oct;26(20):4977-5008
EMBO reports 2025 Oct;26(20):4977-5008
Fluoride induces spermatocyte apoptosis by IP3R1/MCU-mediated mitochondrial calcium overload through MAMs.
Guo X, Wang L, Xuan J, Chen T, Du Y, Qiao H, Zhang S, Sun Z, Wang J, Niu R
Journal of hazardous materials 2025 Jun 5;489:137514
Journal of hazardous materials 2025 Jun 5;489:137514
Elevating VAPB-PTPIP51 integration repairs damaged mitochondria-associated endoplasmic reticulum membranes and inhibits lung fibroblasts activation.
Ban J, Tian H, Wei Y, Ao L, Gu H, Zeng J, Peng X, Ao C, Zhang Y, He X, Zhao H, Li J
International immunopharmacology 2025 Feb 6;147:113982
International immunopharmacology 2025 Feb 6;147:113982
Bridging the gap: investigating the role of phosphorylation at the serine 129 site of α-synuclein in VAPB-PTPIP51 interactions.
Liu W, Lu Y, Liu J, Yu Y, Yang H
Acta neuropathologica communications 2025 Feb 24;13(1):40
Acta neuropathologica communications 2025 Feb 24;13(1):40
ER-mitochondria contacts mediate lipid radical transfer via RMDN3/PTPIP51 phosphorylation to reduce mitochondrial oxidative stress.
Shiiba I, Ito N, Oshio H, Ishikawa Y, Nagao T, Shimura H, Oh KW, Takasaki E, Yamaguchi F, Konagaya R, Kadowaki H, Nishitoh H, Tanzawa T, Nagashima S, Sugiura A, Fujikawa Y, Umezawa K, Tamura Y, Il Lee B, Hirabayashi Y, Okazaki Y, Sawa T, Inatome R, Yanagi S
Nature communications 2025 Feb 10;16(1):1508
Nature communications 2025 Feb 10;16(1):1508
Changes in the endoplasmic reticulum‑mitochondria communication in dermal fibroblasts from early‑stage bipolar disorder patients: Skin‑brain axis as a new route to understand the pathophysiology of mental illness?
Pereira AC, Marques AP, Resende R, Serrano-Cuñarro L, Caldeira M, Fernandes T, Batista M, Macedo A, De Melo JB, Madeira N, Cavadas C, Cruz MT, Pereira CF
International journal of molecular medicine 2025 Dec;56(6)
International journal of molecular medicine 2025 Dec;56(6)
RHOA regulates mitochondria-ER contact sites through modulation of the VAPB/PTPIP51 tether.
Yang Z, Nakajima S, Chen H, Chakrabarty Y, Feng H, Chan DC
Nature communications 2025 Dec 14;16(1):11260
Nature communications 2025 Dec 14;16(1):11260
Development of a Signal-integrating Reporter to Monitor Mitochondria-ER Contacts.
Yang Z, Chan DC
ACS synthetic biology 2024 Sep 20;13(9):2791-2803
ACS synthetic biology 2024 Sep 20;13(9):2791-2803
Nup358 restricts ER-mitochondria connectivity by modulating mTORC2/Akt/GSK3β signalling.
Kalarikkal M, Saikia R, Oliveira L, Bhorkar Y, Lonare A, Varshney P, Dhamale P, Majumdar A, Joseph J
EMBO reports 2024 Oct;25(10):4226-4251
EMBO reports 2024 Oct;25(10):4226-4251
GRP75-dependent mitochondria-ER contacts ensure cell survival during early mouse thymocyte development.
Zhao F, Cui Z, Wang P, Zhao Z, Zhu K, Bai Y, Jin X, Wang L, Lu L
Developmental cell 2024 Oct 7;59(19):2643-2658.e7
Developmental cell 2024 Oct 7;59(19):2643-2658.e7
Mitochondrial dysfunction heightens the integrated stress response to drive ALS pathogenesis.
Landry C, Costanzo J, Mitne-Neto M, Zatz M, Schaffer A, Hatzoglou M, Muotri A, Miranda HC
bioRxiv : the preprint server for biology 2024 May 14;
bioRxiv : the preprint server for biology 2024 May 14;
Development of a signal-integrating reporter to monitor mitochondria-ER contacts.
Yang Z, Chan DC
bioRxiv : the preprint server for biology 2024 Feb 14;
bioRxiv : the preprint server for biology 2024 Feb 14;
The anticancer effect of metformin targets VDAC1 via ER-mitochondria interactions-mediated autophagy in HCC.
Ko M, Kim J, Lazim R, Lee JY, Kim JY, Gosu V, Lee Y, Choi S, Kwon HJ
Experimental & molecular medicine 2024 Dec;56(12):2714-2725
Experimental & molecular medicine 2024 Dec;56(12):2714-2725
Mitochondria-associated endoplasmic reticulum membranes tethering protein VAPB-PTPIP51 protects against ischemic stroke through inhibiting the activation of autophagy.
Li M, Zhang Y, Yu G, Gu L, Zhu H, Feng S, Xiong X, Jian Z
CNS neuroscience & therapeutics 2024 Apr;30(4):e14707
CNS neuroscience & therapeutics 2024 Apr;30(4):e14707
Disruption of Mitochondrial-associated ER membranes by HIV-1 tat protein contributes to premature brain aging.
Arjona SP, Allen CNS, Santerre M, Gross S, Soboloff J, Booze R, Sawaya BE
CNS neuroscience & therapeutics 2023 Jan;29(1):365-377
CNS neuroscience & therapeutics 2023 Jan;29(1):365-377
ER-mitochondria contacts and cholesterol metabolism are disrupted by disease-associated tau protein.
Szabo L, Cummins N, Paganetti P, Odermatt A, Papassotiropoulos A, Karch C, Götz J, Eckert A, Grimm A
EMBO reports 2023 Aug 3;24(8):e57499
EMBO reports 2023 Aug 3;24(8):e57499
PTPIP51 inhibits non-small-cell lung cancer by promoting PTEN-mediated EGFR degradation.
He M, Wang X, Chen W, Zhang J, Xiong Y, Cao L, Zhang L, Zhao N, Yang Y, Wang L
Life sciences 2022 May 15;297:120293
Life sciences 2022 May 15;297:120293
Atlastin 2/3 regulate ER targeting of the ULK1 complex to initiate autophagy.
Liu N, Zhao H, Zhao YG, Hu J, Zhang H
The Journal of cell biology 2021 Jul 5;220(7)
The Journal of cell biology 2021 Jul 5;220(7)
The role of Mfn2 in the structure and function of endoplasmic reticulum-mitochondrial tethering in vivo.
Han S, Zhao F, Hsia J, Ma X, Liu Y, Torres S, Fujioka H, Zhu X
Journal of cell science 2021 Jul 1;134(13)
Journal of cell science 2021 Jul 1;134(13)
MIROs and DRP1 drive mitochondrial-derived vesicle biogenesis and promote quality control.
König T, Nolte H, Aaltonen MJ, Tatsuta T, Krols M, Stroh T, Langer T, McBride HM
Nature cell biology 2021 Dec;23(12):1271-1286
Nature cell biology 2021 Dec;23(12):1271-1286
VPS13D interacts with VCP/p97 and negatively regulates endoplasmic reticulum-mitochondria interactions.
Du Y, Wang J, Xiong J, Fang N, Ji WK
Molecular biology of the cell 2021 Aug 1;32(16):1474-1486
Molecular biology of the cell 2021 Aug 1;32(16):1474-1486
A High-Density Human Mitochondrial Proximity Interaction Network.
Antonicka H, Lin ZY, Janer A, Aaltonen MJ, Weraarpachai W, Gingras AC, Shoubridge EA
Cell metabolism 2020 Sep 1;32(3):479-497.e9
Cell metabolism 2020 Sep 1;32(3):479-497.e9
Proteomics-Based Approach Identifies Altered ER Domain Properties by ALS-Linked VAPB Mutation.
Yamanaka T, Nishiyama R, Shimogori T, Nukina N
Scientific reports 2020 May 6;10(1):7610
Scientific reports 2020 May 6;10(1):7610
The ER-Localized Transmembrane Protein EPG-3/VMP1 Regulates SERCA Activity to Control ER-Isolation Membrane Contacts for Autophagosome Formation.
Zhao YG, Chen Y, Miao G, Zhao H, Qu W, Li D, Wang Z, Liu N, Li L, Chen S, Liu P, Feng D, Zhang H
Molecular cell 2017 Sep 21;67(6):974-989.e6
Molecular cell 2017 Sep 21;67(6):974-989.e6
No comments: Submit comment
Supportive validation
- Submitted by
- Proteintech Group (provider)
- Main image

- Experimental details
- HepG2 cells were subjected to SDS PAGE followed by western blot with 20641-1-AP(PTPIP51 antibody) at dilution of 1:500
- Sample type
- cell line
Supportive validation
- Submitted by
- Proteintech Group (provider)
- Main image

- Experimental details
- Immunofluorescent analysis of HepG2 cells, using FAM82A2 antibody 20641-1-AP at 1:25 dilution and Rhodamine-labeled goat anti-rabbit IgG (red).
- Sample type
- cell line
Supportive validation
- Submitted by
- Proteintech Group (provider)
- Main image

- Experimental details
- Immunohistochemical of paraffin-embedded human skin using 20641-1-AP(PTPIP51 antibody) at dilution of 1:100 (under 10x lens)
- Sample type
- tissue
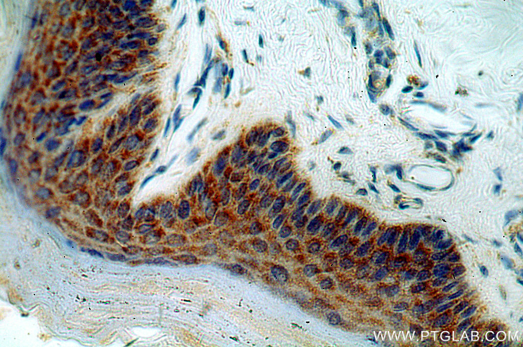
- Submitted by
- Proteintech Group (provider)
- Main image

- Experimental details
- Immunohistochemical of paraffin-embedded human skin using 20641-1-AP(PTPIP51 antibody) at dilution of 1:100 (under 40x lens)
- Sample type
- tissue