Antibody data
- Antibody Data
- Antigen structure
- References [0]
- Comments [0]
- Validations
- Western blot [2]
- Immunohistochemistry [1]
Submit
Validation data
Reference
Comment
Report error
- Product number
- AF5768 - Provider product page

- Provider
- R&D Systems
- Product name
- Human Fucosyltransferase 8/FUT8 Antibody
- Antibody type
- Polyclonal
- Description
- Antigen Affinity-purified. Detects human Fucosyltransferase 8/FUT8 in direct ELISAs and Western blots.
- Reactivity
- Human
- Host
- Sheep
- Conjugate
- Unconjugated
- Antigen sequence
Q9BYC5- Isotype
- IgG
- Vial size
- 100 ug
- Concentration
- LYOPH
- Storage
- Use a manual defrost freezer and avoid repeated freeze-thaw cycles. 12 months from date of receipt, -20 to -70 °C as supplied. 1 month, 2 to 8 °C under sterile conditions after reconstitution. 6 months, -20 to -70 °C under sterile conditions after reconstitution.
No comments: Submit comment
Supportive validation
- Submitted by
- R&D Systems (provider)
- Main image

- Experimental details
- Detection of Human Fucosyltransferase 8/FUT8 by Western Blot. Western blot shows lysates of COLO 205 human colorectal adenocarcinoma cell line. PVDF membrane was probed with 1 µg/mL of Sheep Anti-Human Fucosyltransferase 8/FUT8 Antigen Affinity-purified Polyclonal Antibody (Catalog # AF5768) followed by HRP-conjugated Anti-Sheep IgG Secondary Antibody (Catalog # HAF016). A specific band was detected for Fucosyltransferase 8/FUT8 at approximately 60 - 65 kDa (as indicated). This experiment was conducted under reducing conditions and using Immunoblot Buffer Group 8.
- Submitted by
- R&D Systems (provider)
- Main image

- Experimental details
- Detection of Human Fucosyltransferase 8/FUT8 by Simple WesternTM. Simple Western lane view shows lysates of COLO 205 human colorectal adenocarcinoma cell line, loaded at 0.2 mg/mL. A specific band was detected for Fucosyltransferase 8/FUT8 at approximately 64 kDa (as indicated) using 10 µg/mL of Sheep Anti-Human Fucosyltransferase 8/FUT8 Antigen Affinity-purified Polyclonal Antibody (Catalog # AF5768) followed by 1:50 dilution of HRP-conjugated Anti-Sheep IgG Secondary Antibody (Catalog # HAF016). This experiment was conducted under reducing conditions and using the 12-230 kDa separation system.
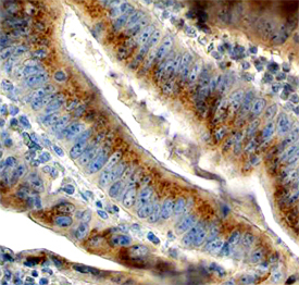
Supportive validation
- Submitted by
- R&D Systems (provider)
- Main image

- Experimental details
- Fucosyltransferase 8/FUT8 in Human Colon. Fucosyltransferase 8/FUT8 was detected in paraffin-embedded sections of human colon using Sheep Anti-Human Fucosyltransferase 8/FUT8 Antigen Affinity-purified Polyclonal Antibody (Catalog # AF5768) at 3 µg/mL overnight at 4 °C. Before incubation with the primary antibody tissue was subjected to heat-induced epitope retrieval using Antigen Retrieval Reagent-Basic (Catalog # CTS013). Tissue was stained using the Anti-Sheep HRP-DAB Cell & Tissue Staining Kit (brown; Catalog # CTS019) and counterstained with hematoxylin (blue). View our protocol for Chromogenic IHC Staining of Paraffin-embedded Tissue Sections.