Antibody data
- Antibody Data
- Antigen structure
- References [0]
- Comments [0]
- Validations
- Immunohistochemistry [5]
Submit
Validation data
Reference
Comment
Report error
- Product number
- PA5-66595 - Provider product page

- Provider
- Invitrogen Antibodies
- Product name
- DUOXA2 Polyclonal Antibody
- Antibody type
- Polyclonal
- Antigen
- Recombinant protein fragment
- Description
- Immunogen sequence: SLQYVRPSALR TLLDQSAKDC SQERGGSPLI LGDPLHKQAA LPDLKCITTN L Highest antigen sequence identity to the following orthologs - mouse 53%, rat 51%.
- Reactivity
- Human
- Host
- Rabbit
- Isotype
- IgG
- Vial size
- 100 μL
- Concentration
- 0.10 mg/mL
- Storage
- Store at 4°C short term. For long term storage, store at -20°C, avoiding freeze/thaw cycles.
No comments: Submit comment
Supportive validation
- Submitted by
- Invitrogen Antibodies (provider)
- Main image

- Experimental details
- Immunohistochemical staining of DUOXA2 in human gallbladder using DUOXA2 Polyclonal Antibody (Product # PA5-66595) shows high expression.
- Submitted by
- Invitrogen Antibodies (provider)
- Main image

- Experimental details
- Immunohistochemical analysis of DUOXA2 in human skin using DUOXA2 Polyclonal Antibody (Product # PA5-66595) shows no positivity in squamous epithelial cells as expected.
- Submitted by
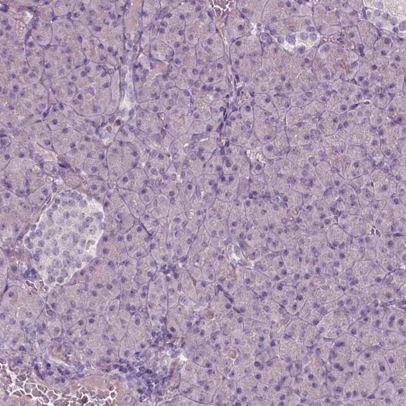
- Invitrogen Antibodies (provider)
- Main image

- Experimental details
- Immunohistochemical staining of DUOXA2 in human pancreas using DUOXA2 Polyclonal Antibody (Product # PA5-66595) shows low expression as expected.
- Submitted by
- Invitrogen Antibodies (provider)
- Main image

- Experimental details
- Immunohistochemical analysis of DUOXA2 in human lymph node using DUOXA2 Polyclonal Antibody (Product # PA5-66595) shows no positivity in non-germinal center cells as expected.
- Submitted by
- Invitrogen Antibodies (provider)
- Main image

- Experimental details
- Immunohistochemical analysis of DUOXA2 in human stomach using DUOXA2 Polyclonal Antibody (Product # PA5-66595) shows strong positivity in apical membrane in glandular cells.