Antibody data
- Antibody Data
- Antigen structure
- References [0]
- Comments [0]
- Validations
- Western blot [1]
- Immunohistochemistry [1]
Submit
Validation data
Reference
Comment
Report error
- Product number
- NBP2-20928 - Provider product page 
- Provider
- Novus Biologicals
- Product name
- Rabbit Polyclonal YARS2 Antibody
- Antibody type
- Polyclonal
- Description
- Immunogen affinity purified.
- Reactivity
- Human
- Host
- Rabbit
- Isotype
- IgG
- Vial size
- 0.1 ml
- Storage
- Aliquot and store at -20C or -80C. Avoid freeze-thaw cycles.
				No comments: Submit comment	
	
			
							
					Supportive validation
					
									
				
				- Submitted by
- Novus Biologicals (provider)
- Main image
 
- Experimental details
- Western Blot: YARS2 Antibody [NBP2-20928] - Sample (30 ug of whole cell lysate) A: NT2D1 10% SDS PAGE gel, diluted at 1:1000.
							
					Supportive validation
					
									
				
		- Submitted by
- Novus Biologicals (provider)
- Main image
 
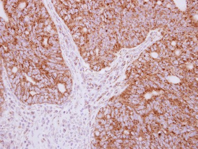
- Experimental details
- Immunohistochemistry-Paraffin: YARS2 Antibody [NBP2-20928] - Human colon carcinoma, using YARS2 antibody at 1:250 dilution. Antigen Retrieval: Trilogy™ (EDTA based, pH 8.0) buffer, 15min