Antibody data
- Antibody Data
- Antigen structure
- References [0]
- Comments [0]
- Validations
- Western blot [1]
- ELISA [1]
- Immunohistochemistry [1]
Submit
Validation data
Reference
Comment
Report error
- Product number
- MAB27552-100 - Provider product page

- Provider
- R&D Systems
- Product name
- Mouse ASGR1/ASGPR1 Antibody
- Antibody type
- Monoclonal
- Description
- Protein A or G purified from hybridoma culture supernatant. Detects mouse ASGR1/ASGPR1 in direct ELISAs.
- Reactivity
- Mouse
- Host
- Rat
- Conjugate
- Unconjugated
- Antigen sequence
NP_033844- Isotype
- IgG
- Antibody clone number
- 352803
- Vial size
- 100 ug
- Storage
- Use a manual defrost freezer and avoid repeated freeze-thaw cycles. 12 months from date of receipt, -20 to -70 °C as supplied. 1 month, 2 to 8 °C under sterile conditions after reconstitution. 6 months, -20 to -70 °C under sterile conditions after reconstitution.
No comments: Submit comment
Supportive validation
- Submitted by
- R&D Systems (provider)
- Main image

- Experimental details
- Detection of Mouse ASGR1/ASGPR1 by Western Blot. Western blot shows lysates of mouse liver tissue, human liver tissue (negative control), and HepG2 human hepatocellular carcinoma cell line (negative control). PVDF membrane was probed with 0.5 µg/mL of Rat Anti-Mouse ASGR1/ASGPR1 Monoclonal Antibody (Catalog # MAB27552) followed by HRP-conjugated Anti-Rat IgG Secondary Antibody (Catalog # HAF005). A specific band was detected for ASGR1/ASGPR1 at approximately 42 kDa (as indicated). This experiment was conducted under reducing conditions and using Immunoblot Buffer Group 1.
Supportive validation
- Submitted by
- R&D Systems (provider)
- Main image

- Experimental details
- Mouse ASGR1/ASGPR1 ELISA Standard Curve. Recombinant Mouse ASGR1/ASGPR1 protein was serially diluted 2-fold and captured by Rat Anti-Mouse ASGR1/ASGPR1 Monoclonal Antibody (Catalog # MAB27551) coated on a Clear Polystyrene Microplate (Catalog # DY990). Rat Anti-Mouse ASGR1/ASGPR1 Monoclonal Antibody (Catalog # MAB27552) was biotinylated and incubated with the protein captured on the plate. Detection of the standard curve was achieved by incubating Streptavidin-HRP (Catalog # DY998) followed by Substrate Solution (Catalog # DY999) and stopping the enzymatic reaction with Stop Solution (Catalog # DY994).
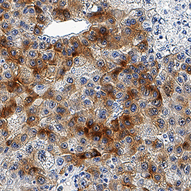
Supportive validation
- Submitted by
- R&D Systems (provider)
- Main image

- Experimental details
- ASGR1/ASGPR1 in Human Liver. ASGR1/ASGPR1 was detected in immersion fixed paraffin-embedded sections of human liver using Rat Anti-Mouse ASGR1/ASGPR1 Monoclonal Antibody (Catalog # MAB27552) at 5 µg/mL overnight at 4 °C. Tissue was stained using the Anti-Rat HRP-DAB Cell & Tissue Staining Kit (brown; Catalog # CTS017) and counterstained with hematoxylin (blue). Specific staining was localized to cytoplasm in hepatocytes. View our protocol for Chromogenic IHC Staining of Paraffin-embedded Tissue Sections.