Antibody data
- Antibody Data
- Antigen structure
- References [0]
- Comments [0]
- Validations
- Western blot [1]
- Immunocytochemistry [1]
- Immunohistochemistry [1]
Submit
Validation data
Reference
Comment
Report error
- Product number
- GTX107395 - Provider product page

- Provider
- GeneTex
- Proper citation
- GeneTex Cat#GTX107395, RRID:AB_1951850
- Product name
- Selenophosphate synthetase 1 antibody
- Antibody type
- Polyclonal
- Reactivity
- Human
- Host
- Rabbit
No comments: Submit comment
Supportive validation
- Submitted by
- GeneTex (provider)
- Main image

- Experimental details
- Sample(30 £gg of whole cell lysate)A:A431(GTX27909)B:MOLT4(GTX27912)12% SDS PAGEGTX107395 diluted at 1:500
Supportive validation
- Submitted by
- GeneTex (provider)
- Main image

- Experimental details
- Immunofluorescence analysis of paraformaldehyde-fixed HeLa, using Selenophosphate synthetase 1(GTX107395) antibody at 1:200 dilution.
Supportive validation
- Submitted by
- GeneTex (provider)
- Main image

- Experimental details
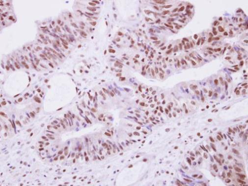
- Selenophosphate synthetase 1 antibody detects SEPHS1 protein at nucleus on human colon carcinoma by immunohistochemical analysis. Sample: Paraffin-embedded colon carcinoma. Selenophosphate synthetase 1 antibody (GTX107395) dilution: 1:500.