Antibody data
- Antibody Data
- Antigen structure
- References [0]
- Comments [0]
- Validations
- Immunohistochemistry [1]
Submit
Validation data
Reference
Comment
Report error
- Product number
- AM00551PU-N - Provider product page

- Provider
- Acris Antibodies GmbH
- Proper citation
- Acris Antibodies GmbH Cat#AM00551PU-N, RRID:AB_1615803
- Product name
- anti ERCC4
- Antibody type
- Monoclonal
- Antigen
- Recombinant Human XPF protein
- Reactivity
- Human
- Host
- Mouse
- Isotype
- IgG
- Antibody clone number
- 219
- Vial size
- 0.1 mg
- Concentration
- 0.2 mg/ml
No comments: Submit comment
Supportive validation
- Submitted by
- Acris Antibodies GmbH (provider)
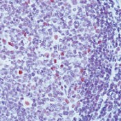
- Main image

- Experimental details
- Formalin-fixed, paraffin-embedded human tonsil stained with XPF (AM00551PU-N) using peroxidase-conjugate and AEC chromogen. Note nuclear staining of lymphoid cells.