Antibody data
- Antibody Data
- Antigen structure
- References [0]
- Comments [0]
- Validations
- Immunohistochemistry [1]
Submit
Validation data
Reference
Comment
Report error
- Product number
- AM20500PU-N - Provider product page

- Provider
- Acris Antibodies GmbH
- Proper citation
- Acris Antibodies GmbH Cat#AM20500PU-N, RRID:AB_10841504
- Product name
- anti ERCC4
- Antibody type
- Monoclonal
- Antigen
- Recombinant Human XPF protein.
- Reactivity
- Human
- Host
- Mouse
- Isotype
- IgG
- Antibody clone number
- n.a
- Vial size
- 50 µl
No comments: Submit comment
Supportive validation
- Submitted by
- Acris Antibodies GmbH (provider)
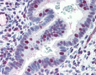
- Main image

- Experimental details
- Human Uterus (formalin-fixed, paraffin-embedded) stained with ERCC4 antibody AM20500PU-N at 10 µg/ml after heat-induced antigen retrieval.