Antibody data
- Antibody Data
- Antigen structure
- References [0]
- Comments [0]
- Validations
- Immunohistochemistry [1]
Submit
Validation data
Reference
Comment
Report error
- Product number
- PAB20628 - Provider product page

- Provider
- Abnova Corporation
- Proper citation
- Abnova Corporation Cat#PAB20628, RRID:AB_10968126
- Product name
- FBN2 polyclonal antibody
- Antibody type
- Polyclonal
- Description
- Rabbit polyclonal antibody raised against recombinant FBN2.
- Antigen sequence
GMCFSGLVNGRCAQELPGRMTKMQCCCEPGRCWGI
GTIPEACPVRGSEEYRRLCMDGLPMGGIPGSAGSR
PGGTGGNGFAPSGNGNGYGPGGTGFIPIPGGNGFS
PGVGGAGVGAGGQGPIITGLTILNQ- Isotype
- IgG
- Storage
- Store at 4°C. For long term storage store at -20°C.Aliquot to avoid repeated freezing and thawing.
No comments: Submit comment
Supportive validation
- Submitted by
- Abnova Corporation (provider)
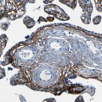
- Main image

- Experimental details
- Immunohistochemical staining of human placenta with FBN2 polyclonal antibody (Cat # PAB20628) shows distinct positivity in basal membranes at 1:10-1:20 dilution.
- Validation comment
- Immunohistochemistry (Formalin/PFA-fixed paraffin-embedded sections)