Antibody data
- Antibody Data
- Antigen structure
- References [2]
- Comments [0]
- Validations
- Western blot [1]
- Immunohistochemistry [1]
Submit
Validation data
Reference
Comment
Report error
- Product number
- 16254-1-AP - Provider product page

- Provider
- Proteintech Group
- Proper citation
- Proteintech Cat#16254-1-AP, RRID:AB_2145582
- Product name
- MRPL1 antibody
- Antibody type
- Polyclonal
- Description
- MRPL1 antibody (Cat. #16254-1-AP) is a rabbit polyclonal antibody that shows reactivity with human, mouse, rat and has been validated for the following applications: IHC, WB,ELISA.
- Reactivity
- Human, Mouse, Rat
- Host
- Rabbit
- Conjugate
- Unconjugated
- Isotype
- IgG
- Vial size
- 20ul, 150ul
Submitted references A microscopy-based screen identifies cellular kinases modulating mitochondrial translation.
GTPBP8 is required for mitoribosomal biogenesis and mitochondrial translation.
Yousefi R, Cruz-Zaragoza LD, Valpadashi A, Hansohn C, Dahal D, Richter-Dennerlein R, Rizzoli S, Urlaub H, Rehling P, Pacheu-Grau D
Cell reports 2025 Jan 28;44(1):115143
Cell reports 2025 Jan 28;44(1):115143
GTPBP8 is required for mitoribosomal biogenesis and mitochondrial translation.
Wang L, Hilander T, Liu X, Tsang HY, Eriksson O, Jackson CB, Varjosalo M, Zhao H
Cellular and molecular life sciences : CMLS 2023 Nov 16;80(12):361
Cellular and molecular life sciences : CMLS 2023 Nov 16;80(12):361
No comments: Submit comment
Supportive validation
- Submitted by
- Proteintech Group (provider)
- Main image

- Experimental details
- human liver tissue were subjected to SDS PAGE followed by western blot with 16254-1-AP(MRPL1 antibody) at dilution of 1:1000
- Sample type
- tissue
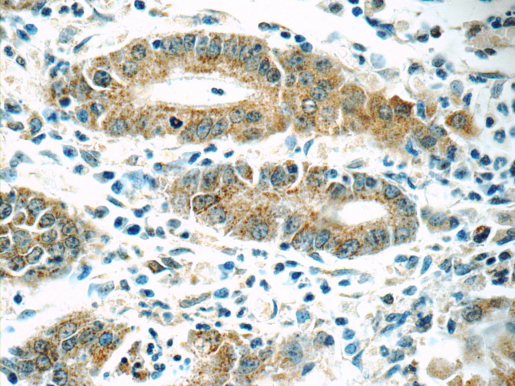
Supportive validation
- Submitted by
- Proteintech Group (provider)
- Main image

- Experimental details
- The MRPL1 antibody from Proteintech is a rabbit polyclonal antibody to a recombinant protein of human MRPL1. This antibody recognizes human,mouse,rat antigen. The MRPL1 antibody has been validated for the following applications: ELISA, WB, IHC analysis.