Antibody data
- Antibody Data
- Antigen structure
- References [2]
- Comments [0]
- Validations
- Western blot [1]
- Immunohistochemistry [1]
Submit
Validation data
Reference
Comment
Report error
- Product number
- PAB13300 - Provider product page

- Provider
- Abnova Corporation
- Proper citation
- Abnova Corporation Cat#PAB13300, RRID:AB_10549890
- Product name
- ARMETL1 polyclonal antibody
- Antibody type
- Polyclonal
- Description
- Rabbit polyclonal antibody raised against synthetic peptide of ARMETL1.
- Storage
- Store at 4°C for three months. For long term storage store at -20°C.Aliquot to avoid repeated freezing and thawing.
Submitted references Novel neurotrophic factor CDNF protects and rescues midbrain dopamine neurons in vivo.
MANF: a new mesencephalic, astrocyte-derived neurotrophic factor with selectivity for dopaminergic neurons.
Lindholm P, Voutilainen MH, Laurén J, Peränen J, Leppänen VM, Andressoo JO, Lindahl M, Janhunen S, Kalkkinen N, Timmusk T, Tuominen RK, Saarma M
Nature 2007 Jul 5;448(7149):73-7
Nature 2007 Jul 5;448(7149):73-7
MANF: a new mesencephalic, astrocyte-derived neurotrophic factor with selectivity for dopaminergic neurons.
Petrova P, Raibekas A, Pevsner J, Vigo N, Anafi M, Moore MK, Peaire AE, Shridhar V, Smith DI, Kelly J, Durocher Y, Commissiong JW
Journal of molecular neuroscience : MN 2003 Apr;20(2):173-88
Journal of molecular neuroscience : MN 2003 Apr;20(2):173-88
No comments: Submit comment
Supportive validation
- Submitted by
- Abnova Corporation (provider)
- Main image

- Experimental details
- Western blot analysis of ARMETL1 in A-20 cell lysate in (A) the absence and (B) the presence of blocking peptide with ARMETL1 polyclonal antibody (Cat # PAB13300) at 1 ug/mL .
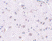
Supportive validation
- Submitted by
- Abnova Corporation (provider)
- Main image

- Experimental details
- Immunohistochemistry of ARMETL1 in human brain tissue with ARMETL1 polyclonal antibody (Cat # PAB13300) at 5 ug/mL .
- Validation comment
- Immunohistochemistry (Formalin/PFA-fixed paraffin-embedded sections)