Antibody data
- Antibody Data
- Antigen structure
- References [0]
- Comments [0]
- Validations
- Western blot [1]
- Immunocytochemistry [1]
- Immunohistochemistry [1]
Submit
Validation data
Reference
Comment
Report error
- Product number
- TA309030 - Provider product page

- Provider
- OriGene
- Product name
- Rabbit Polyclonal antibody to MID1IP1 (MID1 interacting protein 1 (gastrulation specific G12 homolog (zebrafish)))
- Antibody type
- Polyclonal
- Description
- Rabbit Polyclonal antibody to MID1IP1 (MID1 interacting protein 1 (gastrulation specific G12 homolog (zebrafish)))
- Host
- Rabbit
- Conjugate
- Unconjugated
- Epitope
- MID1IP1
- Isotype
- IgG
- Antibody clone number
- NULL
- Vial size
- 100 µl
- Concentration
- 0.68mg/ml
No comments: Submit comment
Supportive validation
- Submitted by
- OriGene (provider)
- Main image

- Experimental details
- Sample(30 ug whole cell lysate). A:293T. B:Hep G2 . 12% SDS PAGE. TA309030 diluted at 1:1000
- Validation comment
- WB
Supportive validation
- Submitted by
- OriGene (provider)
- Main image

- Experimental details
- Confocal immunofluorescence analysis (Olympus FV10i) of paraformaldehyde-fixed HeLa, using MID1IP1(TA309030) antibody (Green) at 1:500 dilution. Alpha-tubulin filaments were labeled with anti-alpha tubulin antibody (Red) at 1:2000.
- Validation comment
- IF
Supportive validation
- Submitted by
- OriGene (provider)
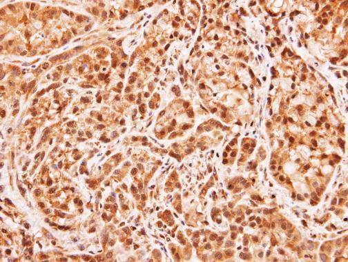
- Main image

- Experimental details
- Immunohistochemical analysis of paraffin-embedded A549 xenograft, using MID1IP1(TA309030) antibody at 1:100 dilution.
- Validation comment
- IHC