PAB23694
antibody from Abnova Corporation
Targeting: SLF1
ANKRD32, BRCTD1, BRCTx, DKFZp564C0469, DKFZp761C121
Antibody data
- Antibody Data
- Antigen structure
- References [0]
- Comments [0]
- Validations
- Immunohistochemistry [1]
Submit
Validation data
Reference
Comment
Report error
- Product number
- PAB23694 - Provider product page

- Provider
- Abnova Corporation
- Proper citation
- Abnova Corporation Cat#PAB23694, RRID:AB_11126127
- Product name
- ANKRD32 polyclonal antibody
- Antibody type
- Polyclonal
- Description
- Rabbit polyclonal antibody raised against recombinant ANKRD32.
- Antigen sequence
EYAKESKAMAIKTDVDVVEIKNTLRKHIYRAQAVR
YNCIRIDKQPVYNVEVKNAEFPRGVLNLIESLIEG
HFFKEAIEELSTLQAHYIPPVC- Isotype
- IgG
- Storage
- Store at 4°C. For long term storage store at -20°C.Aliquot to avoid repeated freezing and thawing.
No comments: Submit comment
Supportive validation
- Submitted by
- Abnova Corporation (provider)
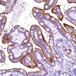
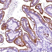
- Main image

- Experimental details
- Immunohistochemical staining of human colon with ANKRD32 polyclonal antibody (Cat # PAB23694) shows strong membranous positivity in glandular cells at 1:20-1:50 dilution.
- Validation comment
- Immunohistochemistry (Formalin/PFA-fixed paraffin-embedded sections)