Antibody data
- Antibody Data
- Antigen structure
- References [1]
- Comments [0]
- Validations
- Western blot [1]
- Immunohistochemistry [2]
Submit
Validation data
Reference
Comment
Report error
- Product number
- NBP1-49866 - Provider product page

- Provider
- Novus Biologicals
- Proper citation
- Novus Cat#NBP1-49866, RRID:AB_10012056
- Product name
- Goat Polyclonal CMG-2/ANTXR2 Antibody
- Antibody type
- Polyclonal
- Description
- Immunogen affinity purified. This antibody is expected to recognize both reported isoforms (NP_477520.2
- Reactivity
- Human
- Host
- Goat
- Isotype
- IgG
- Vial size
- 0.1 mg
- Concentration
- 0.5 mg/ml
- Storage
- Store at -20C. Avoid freeze-thaw cycles.
Submitted references Systemic hyalinosis mutations in the CMG2 ectodomain leading to loss of function through retention in the endoplasmic reticulum.
Deuquet J, Abrami L, Difeo A, Ramirez MC, Martignetti JA, van der Goot FG
Human mutation 2009 Apr;30(4):583-9
Human mutation 2009 Apr;30(4):583-9
No comments: Submit comment
Supportive validation
- Submitted by
- Novus Biologicals (provider)
- Main image

- Experimental details
- Western Blot: CMG-2/ANTXR2 Antibody [NBP1-49866] - Staining of mouse kidney lysate (35 ug protein in RIPA buffer). Primary incubation was 1 hour. Detected by chemiluminescence.
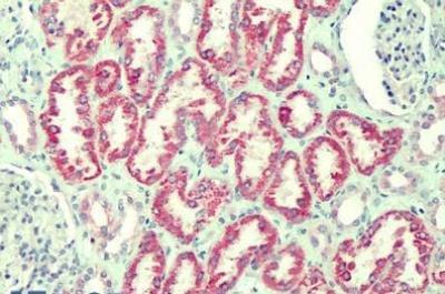
Supportive validation
- Submitted by
- Novus Biologicals (provider)
- Main image

- Experimental details
- Immunohistochemistry-Paraffin: CMG-2/ANTXR2 Antibody [NBP1-49866] - Staining of paraffin embedded human kidney. Steamed antigen retrieval with citrate buffer pH 6, AP-staining.
- Submitted by
- Novus Biologicals (provider)
- Main image

- Experimental details
- Immunohistochemistry-Paraffin: CMG-2/ANTXR2 Antibody [NBP1-49866] - Staining of paraffin embedded human liver. Steamed antigen retrieval with citrate buffer pH 6, AP-staining.