Antibody data
- Antibody Data
- Antigen structure
- References [3]
- Comments [0]
- Validations
- Western blot [1]
- Immunohistochemistry [1]
Submit
Validation data
Reference
Comment
Report error
- Product number
- PAB2553 - Provider product page

- Provider
- Abnova Corporation
- Proper citation
- Abnova Corporation Cat#PAB2553, RRID:AB_1574484
- Product name
- Dtnbp1 polyclonal antibody
- Antibody type
- Polyclonal
- Description
- Rabbit polyclonal antibody raised against synthetic peptide of Dtnbp1.
- Storage
- Store at 4°C. For long term storage store at -20°C.Aliquot to avoid repeated freezing and thawing.
Submitted references Dysbindin-1 is a synaptic and microtubular protein that binds brain snapin.
Hermansky-Pudlak syndrome type 7 (HPS-7) results from mutant dysbindin, a member of the biogenesis of lysosome-related organelles complex 1 (BLOC-1).
Dysbindin, a novel coiled-coil-containing protein that interacts with the dystrobrevins in muscle and brain.
Talbot K, Cho DS, Ong WY, Benson MA, Han LY, Kazi HA, Kamins J, Hahn CG, Blake DJ, Arnold SE
Human molecular genetics 2006 Oct 15;15(20):3041-54
Human molecular genetics 2006 Oct 15;15(20):3041-54
Hermansky-Pudlak syndrome type 7 (HPS-7) results from mutant dysbindin, a member of the biogenesis of lysosome-related organelles complex 1 (BLOC-1).
Li W, Zhang Q, Oiso N, Novak EK, Gautam R, O'Brien EP, Tinsley CL, Blake DJ, Spritz RA, Copeland NG, Jenkins NA, Amato D, Roe BA, Starcevic M, Dell'Angelica EC, Elliott RW, Mishra V, Kingsmore SF, Paylor RE, Swank RT
Nature genetics 2003 Sep;35(1):84-9
Nature genetics 2003 Sep;35(1):84-9
Dysbindin, a novel coiled-coil-containing protein that interacts with the dystrobrevins in muscle and brain.
Benson MA, Newey SE, Martin-Rendon E, Hawkes R, Blake DJ
The Journal of biological chemistry 2001 Jun 29;276(26):24232-41
The Journal of biological chemistry 2001 Jun 29;276(26):24232-41
No comments: Submit comment
Supportive validation
- Submitted by
- Abnova Corporation (provider)
- Main image

- Experimental details
- Western blot analysis of Dtnbp1 (arrow) using rabbit Dtnbp1 polyclonal antibody (Cat # PAB2553). 293 cell lysates (2 ug/lane) either nontransfected (Lane 1) or transiently transfected with the Dtnbp1 gene (Lane 2) (Origene Technologies).
Supportive validation
- Submitted by
- Abnova Corporation (provider)
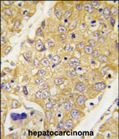
- Main image

- Experimental details
- Formalin-fixed and paraffin-embedded human hepatocellular carcinoma reacted with Dtnbp1 polyclonal antibody (Cat # PAB2553) , which was peroxidase-conjugated to the secondary antibody, followed by DAB staining. This data demonstrates the use of this antibody for immunohistochemistry ; clinical relevance has not been evaluated.
- Validation comment
- Immunohistochemistry (Formalin/PFA-fixed paraffin-embedded sections)