PA5-12282
antibody from Invitrogen Antibodies
Targeting: DTNBP1
BLOC1S8, DBND, Dysbindin, HPS7, My031
Antibody data
- Antibody Data
- Antigen structure
- References [0]
- Comments [0]
- Validations
- Immunohistochemistry [1]
Submit
Validation data
Reference
Comment
Report error
- Product number
- PA5-12282 - Provider product page

- Provider
- Invitrogen Antibodies
- Product name
- Anti-DTNBP1 Polyclonal Antibody
- Antibody type
- Polyclonal
- Antigen
- Synthetic peptide
- Reactivity
- Human, Mouse
- Host
- Rabbit
- Isotype
- IgG
- Vial size
- 400 µL
- Concentration
- Lot Dependent
- Storage
- -20° C, Avoid Freeze/Thaw Cycles
No comments: Submit comment
Supportive validation
- Submitted by
- Invitrogen Antibodies (provider)
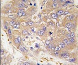
- Main image

- Experimental details
- Immunohistochemical analysis of formalin-fixed, paraffin-embedded human hepatocarcinoma tissue using a Dtnbp1 polyclonal antibody (Product # PA5-12282), followed by HRP-conjugated secondary antibody and DAB staining.