Antibody data
- Antibody Data
- Antigen structure
- References [0]
- Comments [0]
- Validations
- Western blot [1]
- Immunocytochemistry [3]
- Immunohistochemistry [4]
Submit
Validation data
Reference
Comment
Report error
- Product number
- PA5-60776 - Provider product page

- Provider
- Invitrogen Antibodies
- Product name
- ENOPH1 Polyclonal Antibody
- Antibody type
- Polyclonal
- Antigen
- Recombinant protein fragment
- Description
- Immunogen sequence: DILELVDGHF DTKIGHKVES ESYRKIADSI GCSTNNILFL TDVTREASAA EEADVHVAVV VRPGNAGLTD DEK Highest antigen sequence identity to the following orthologs: Mouse - 96%, Rat - 96%.
- Reactivity
- Human
- Host
- Rabbit
- Isotype
- IgG
- Vial size
- 100 μL
- Concentration
- 0.2 mg/mL
- Storage
- Store at 4°C short term. For long term storage, store at -20°C, avoiding freeze/thaw cycles.
No comments: Submit comment
Supportive validation
- Submitted by
- Invitrogen Antibodies (provider)
- Main image

- Experimental details
- Western blot analysis of ENOPH1 in control (vector only transfected HEK293T lysate) and ENOPH1 over-expression lysate (Co-expressed with a C-terminal myc-DDK tag (~3.1 kDa) in mammalian HEK293T cells). Samples were probed using a ENOPH1 Polyclonal Antibody (Product # PA5-60776).
Supportive validation
- Submitted by
- Invitrogen Antibodies (provider)
- Main image

- Experimental details
- Immunofluorescent staining of ENOPH1 in human cell line MCF7 shows positivity in nucleus but excluded from the nucleoli. Samples were probed using an ENOPH1 Polyclonal Antibody (Product # PA5-60776).
- Submitted by
- Invitrogen Antibodies (provider)
- Main image

- Experimental details
- Immunofluorescent staining of ENOPH1 in human cell line MCF7 using an ENOPH1 Polyclonal Antibody (Product # PA5-60776) shows localization to nucleoplasm and nuclear bodies.
- Submitted by
- Invitrogen Antibodies (provider)
- Main image

- Experimental details
- Immunofluorescent staining of ENOPH1 in human cell line MCF7 using an ENOPH1 Polyclonal Antibody (Product # PA5-60776) shows localization to nucleoplasm and nuclear bodies.
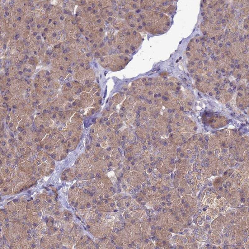
Supportive validation
- Submitted by
- Invitrogen Antibodies (provider)
- Main image

- Experimental details
- Immunohistochemical staining of ENOPH1 in human pancreas using ENOPH1 Polyclonal Antibody (Product # PA5-60776) shows low expression as expected.
- Submitted by
- Invitrogen Antibodies (provider)
- Main image

- Experimental details
- Immunohistochemical staining of ENOPH1 in human cerebral cortex and pancreas tissues using ENOPH1 Polyclonal Antibody (Product # PA5-60776). Corresponding ENOPH1 RNA-seq data are presented for the same tissues.
- Submitted by
- Invitrogen Antibodies (provider)
- Main image

- Experimental details
- Immunohistochemical staining of ENOPH1 in human cerebral cortex using ENOPH1 Polyclonal Antibody (Product # PA5-60776) shows high expression.
- Submitted by
- Invitrogen Antibodies (provider)
- Main image

- Experimental details
- Immunohistochemical staining of ENOPH1 in human cerebral cortex using ENOPH1 Polyclonal Antibody (Product # PA5-60776) shows high expression.