Antibody data
- Antibody Data
- Antigen structure
- References [0]
- Comments [0]
- Validations
- Western blot [1]
- Immunohistochemistry [1]
Submit
Validation data
Reference
Comment
Report error
- Product number
- A302-179A - Provider product page

- Provider
- Invitrogen Antibodies
- Product name
- TOPORS Polyclonal Antibody
- Antibody type
- Polyclonal
- Antigen
- Other
- Reactivity
- Human
- Host
- Rabbit
- Isotype
- IgG
- Vial size
- 100 µL
- Concentration
- 0.20 mg/mL
- Storage
- 4° C
No comments: Submit comment
Supportive validation
- Submitted by
- Invitrogen Antibodies (provider)
- Main image

- Experimental details
- Detection of human TOPORS by western blot and immunoprecipitation. Samples: Whole cell lysate (5, 15 and 50 µg for WB; 1 mg for IP, 20% of IP loaded) from HeLa cells. Antibodies: Affinity purified rabbit anti-TOPORS antibody A302-179A used for WB at 0.04 µg/ml (A) and 1 µg/ml (B) and used for IP at 10 µg/mg lysate. TOPORS was also immunoprecipitated by rabbit anti-TOPORS antibody BL5269, which recognizes an upstream epitope. Detection: Chemiluminescence with exposure times of 1 minute (A) and 30 seconds (B).
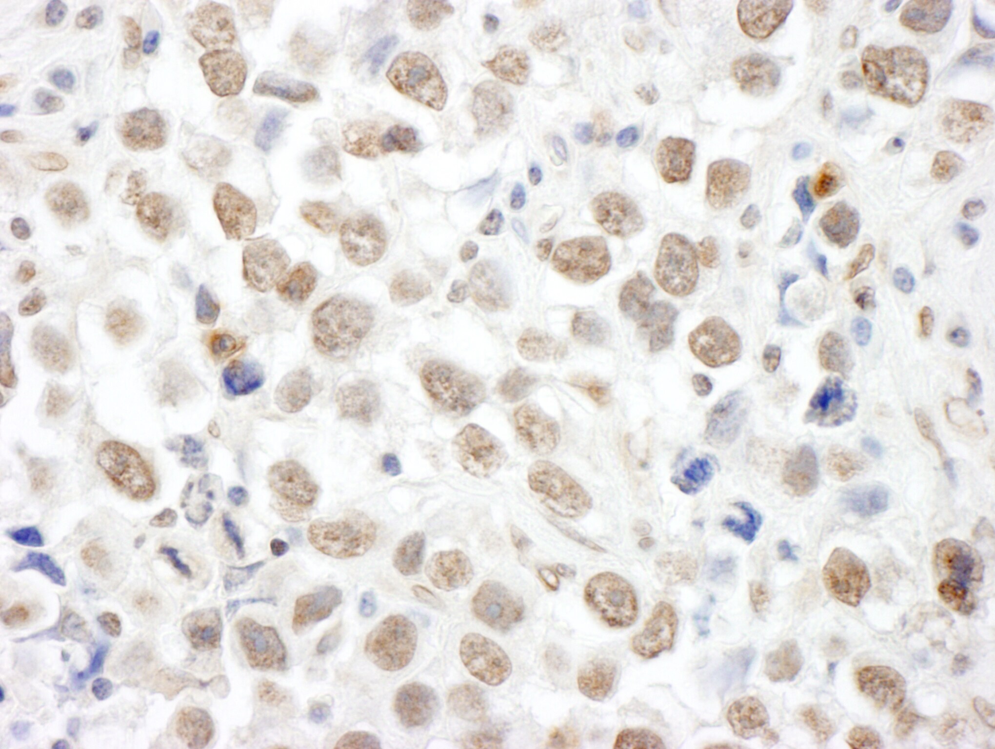
Supportive validation
- Submitted by
- Invitrogen Antibodies (provider)
- Main image

- Experimental details
- Detection of human TOPORS by immunohistochemistry. Sample: FFPE section of human testicular seminoma. Antibody: Affinity purified rabbit anti- TOPORS (Cat. No. A302-179A Lot1) used at a dilution of 1:200 (1µg/ml). Detection: DAB.