Antibody data
- Antibody Data
- Antigen structure
- References [0]
- Comments [0]
- Validations
- Western blot [2]
Submit
Validation data
Reference
Comment
Report error
- Product number
- NBP2-13260 - Provider product page

- Provider
- Novus Biologicals
- Product name
- Rabbit Polyclonal RPP38 Antibody
- Antibody type
- Polyclonal
- Description
- Immunogen affinity purified. Specificity of antibody verified on a Protein Array containing target protein plus 383 other non-specific proteins.
- Reactivity
- Human
- Host
- Rabbit
- Isotype
- IgG
- Vial size
- 0.1 ml
- Storage
- Store at 4C short term. Aliquot and store at -20C long term. Avoid freeze-thaw cycles.
No comments: Submit comment
Supportive validation
- Submitted by
- Novus Biologicals (provider)
- Main image

- Experimental details
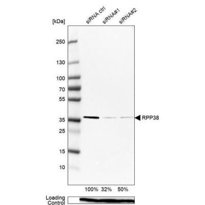
- Western Blot: RPP38 Antibody [NBP2-13260] - Analysis in A-431 cells transfected with control siRNA, target specific siRNA probe #1 and #2, using Anti-RPP38 antibody. Remaining relative intensity is presented. Loading control: Anti-PPIB.
- Submitted by
- Novus Biologicals (provider)
- Main image

- Experimental details
- Western Blot: RPP38 Antibody [NBP2-13260] - Analysis in U2OS cells transfected with control siRNA, target specific siRNA probe #1 and #2, using Anti-RPP38 antibody. Remaining relative intensity is presented