Antibody data
- Antibody Data
- Antigen structure
- References [0]
- Comments [0]
- Validations
- Immunohistochemistry [2]
Submit
Validation data
Reference
Comment
Report error
- Product number
- ARG65590 - Provider product page

- Provider
- Arigo
- Product name
- anti-CD226 Antibody
- Antibody type
- Polyclonal
- Antigen
- Synthetic peptide of human CD226
- Description
- Purified by antigen-affinity chromatography.
- Reactivity
- Human, Mouse, Rat
- Host
- Rabbit
- Isotype
- IgG
- Vial size
- 100 µl
- Concentration
- 2.4 mg/ml
- Storage
- Aliquot and store at -20°C or below. Storage in frost free freezers is not recommended. Avoid repeated freeze/thaw cycles. The antibody solution should be gently mixed before use.
- Handling
- The antibody solution should be gently mixed before use.
No comments: Submit comment
Supportive validation
- Submitted by
- Arigo (provider)
- Main image

- Experimental details
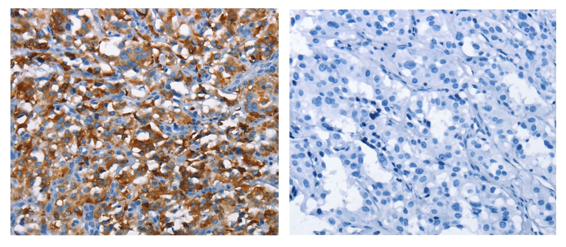
- Immunohistochemistry: paraffin-embedded Human thyroid cancer tissue stained with ARG65590 CD226 Antibody (left) at 1/60 dilution, or the same antibody preincubated with synthetic peptide (right). (Original magnification: ¡Ñ200)
- Submitted by
- Arigo (provider)
- Main image

- Experimental details
- Immunohistochemistry: paraffin-embedded Human thyroid cancer tissue stained with ARG65590 CD226 Antibody (left) at 1/60 dilution, or the same antibody preincubated with synthetic peptide (right). (Original magnification: ¡Ñ200)