Antibody data
- Antibody Data
- Antigen structure
- References [0]
- Comments [0]
- Validations
- Immunocytochemistry [1]
- Immunohistochemistry [4]
Submit
Validation data
Reference
Comment
Report error
- Product number
- PA5-61189 - Provider product page

- Provider
- Invitrogen Antibodies
- Product name
- TMEM117 Polyclonal Antibody
- Antibody type
- Polyclonal
- Antigen
- Recombinant full-length protein
- Description
- Immunogen sequence: MKRKSPSEHS KDMGITRENT QASVEDPLND PSLVCIRSDF NEIVYKSSHL TSENLSSQLN ESTSATEADQ DPTT Highest antigen sequence identity to the following orthologs: Mouse - 85%, Rat - 88%.
- Reactivity
- Human
- Host
- Rabbit
- Isotype
- IgG
- Vial size
- 100 μL
- Concentration
- 0.20 mg/mL
- Storage
- Store at 4°C short term. For long term storage, store at -20°C, avoiding freeze/thaw cycles.
No comments: Submit comment
Supportive validation
- Submitted by
- Invitrogen Antibodies (provider)
- Main image

- Experimental details
- Immunofluorescent staining of TMEM117 in human cell line U-2 OS shows positivity in cytokinetic bridge & nucleus but excluded from the nucleoli. Samples were probed using a TMEM117 Polyclonal Antibody (Product # PA5-61189).
Supportive validation
- Submitted by
- Invitrogen Antibodies (provider)
- Main image

- Experimental details
- Immunohistochemical analysis of TMEM117 in human skeletal muscle using TMEM117 Polyclonal Antibody (Product # PA5-61189) shows moderate cytoplasmic positivity in myocytes.
- Submitted by
- Invitrogen Antibodies (provider)
- Main image

- Experimental details
- Immunohistochemical analysis of TMEM117 in human cerebellum using TMEM117 Polyclonal Antibody (Product # PA5-61189) shows no positivity in Purkinje cells as expected.
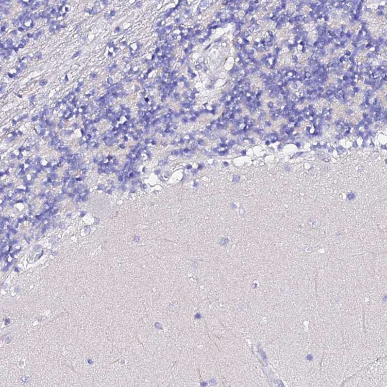
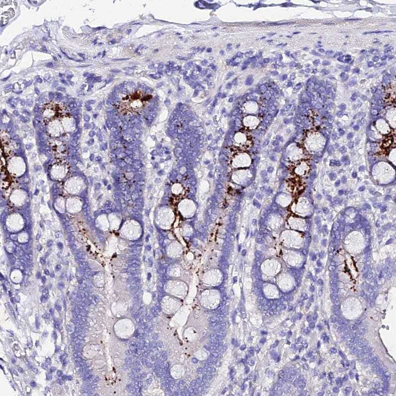
- Submitted by
- Invitrogen Antibodies (provider)
- Main image

- Experimental details
- Immunohistochemical analysis of TMEM117 in human duodenum using TMEM117 Polyclonal Antibody (Product # PA5-61189) shows strong granular cytoplasmic positivity in glandular cells.
- Submitted by
- Invitrogen Antibodies (provider)
- Main image

- Experimental details
- Immunohistochemical analysis of TMEM117 in human lymph node using TMEM117 Polyclonal Antibody (Product # PA5-61189) shows no positivity in non-germinal center cells as expected.