H00084701-M01
antibody from Invitrogen Antibodies
Targeting: COX4I2
COX4-2, COX4B, COX4L2, COXIV-2, dJ857M17.2
Antibody data
- Antibody Data
- Antigen structure
- References [0]
- Comments [0]
- Validations
- Western blot [2]
- ELISA [1]
- Immunohistochemistry [1]
- Other assay [3]
Submit
Validation data
Reference
Comment
Report error
- Product number
- H00084701-M01 - Provider product page

- Provider
- Invitrogen Antibodies
- Product name
- COX4I2 Monoclonal Antibody (1F2)
- Antibody type
- Monoclonal
- Antigen
- Recombinant full-length protein
- Reactivity
- Human, Rat
- Host
- Mouse
- Isotype
- IgG
- Antibody clone number
- 1F2
- Vial size
- 100 µg
- Concentration
- See Label
- Storage
- -20° C, Avoid Freeze/Thaw Cycles
No comments: Submit comment
Supportive validation
- Submitted by
- Invitrogen Antibodies (provider)
- Main image

- Experimental details
- Western Blot analysis of COX4I2 expression in transfected 293T cell line by COX4I2 monoclonal antibody (M01), clone 1F2.Lane 1: COX4I2 transfected lysate (Predicted MW: 20 KDa).Lane 2: Non-transfected lysate.
- Submitted by
- Invitrogen Antibodies (provider)
- Main image

- Experimental details
- COX4I2 monoclonal antibody (M01), clone 1F2. Western Blot analysis of COX4I2 expression in PC-12.
Supportive validation
- Submitted by
- Invitrogen Antibodies (provider)
- Main image

- Experimental details
- Detection limit for recombinant GST tagged COX4I2 is 0.03 ng/mL as a capture antibody.
Supportive validation
- Submitted by
- Invitrogen Antibodies (provider)
- Main image

- Experimental details
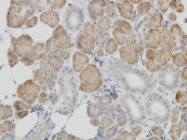
- Immunoperoxidase of monoclonal antibody to COX4I2 on formalin-fixed paraffin-embedded human salivary gland. Antibody concentration is 3 µg/mL.
Supportive validation
- Submitted by
- Invitrogen Antibodies (provider)
- Main image

- Experimental details
- Detection limit for recombinant GST tagged COX4I2 is 0.03 ng/mL as a capture antibody.
- Submitted by
- Invitrogen Antibodies (provider)
- Main image

- Experimental details
- Immunoprecipitation of COX4I2 transfected lysate using anti-COX4I2 monoclonal antibody and Protein A Magnetic Bead, and immunoblotted with COX4I2 MaxPab rabbit polyclonal antibody.
- Submitted by
- Invitrogen Antibodies (provider)
- Main image

- Experimental details
- Immunoprecipitation of COX4I2 transfected lysate using anti-COX4I2 monoclonal antibody and Protein A Magnetic Bead, and immunoblotted with COX4I2 MaxPab rabbit polyclonal antibody.