Antibody data
- Antibody Data
- Antigen structure
- References [0]
- Comments [0]
- Validations
- Western blot [1]
- Immunohistochemistry [1]
Submit
Validation data
Reference
Comment
Report error
- Product number
- LS-C159087 - Provider product page 
- Provider
- LSBio
- Product name
- APCDD1 Antibody (aa69-98) LS-C159087
- Antibody type
- Polyclonal
- Description
- Protein A purified
- Reactivity
- Human
- Host
- Rabbit
- Storage
- Maintain refrigerated at 2°C to 8°C for up to 6 months. For long term storage store at -20°C.
				No comments: Submit comment	
	
			
							
					Supportive validation
					
									
				
				- Submitted by
- LSBio (provider)
- Main image
 
- Experimental details
- APCDD1 Antibody western blot of NCI-H292 cell line lysates (35 ug/lane). The APCDD1 antibody detected the APCDD1 protein (arrow).
							
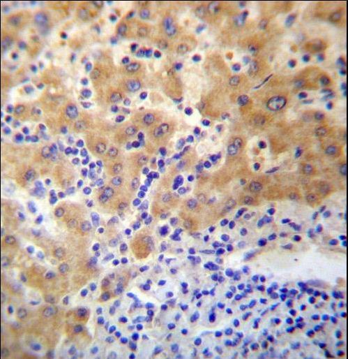
					Supportive validation
					
									
				
		- Submitted by
- LSBio (provider)
- Main image
 
- Experimental details
- APCDD1 Antibody immunohistochemistry of formalin-fixed and paraffin-embedded human liver tissue followed by peroxidase-conjugated secondary antibody and DAB staining.