Antibody data
- Antibody Data
- Antigen structure
- References [0]
- Comments [0]
- Validations
- Western blot [1]
- Immunohistochemistry [1]
Submit
Validation data
Reference
Comment
Report error
- Product number
- TA805548 - Provider product page

- Provider
- OriGene
- Proper citation
- OriGene Cat#TA805548, RRID:AB_2627770
- Product name
- NUDT12 mouse monoclonal antibody, clone OTI3E7 (formerly 3E7)
- Antibody type
- Monoclonal
- Description
- NUDT12 mouse monoclonal antibody, clone OTI3E7 (formerly 3E7)
- Host
- Mouse
- Conjugate
- Unconjugated
- Epitope
- NUDT12
- Isotype
- IgG
- Antibody clone number
- OTI3E7
- Vial size
- 100 µl
- Concentration
- 1 mg/ml
No comments: Submit comment
Supportive validation
- Submitted by
- OriGene (provider)
- Main image

- Experimental details
- HEK293T cells were transfected with the pCMV6-ENTRY control (Left lane) or pCMV6-ENTRY NUDT12 (RC207724, Right lane) cDNA for 48 hrs and lysed. Equivalent amounts of cell lysates (5 ug per lane) were separated by SDS-PAGE and immunoblotted with anti-NUDT12.
- Validation comment
- WB
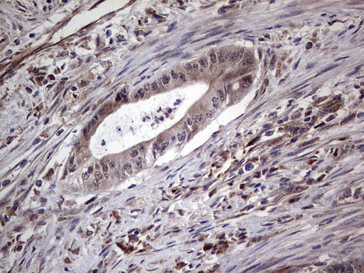
Supportive validation
- Submitted by
- OriGene (provider)
- Main image

- Experimental details
- Immunohistochemical staining of paraffin-embedded Human colon tissue within the normal limits using anti-NUDT12 mouse monoclonal antibody. (Heat-induced epitope retrieval by 1 mM EDTA in 10mM Tris, pH8.5, 120C for 3min, TA805548)
- Validation comment
- IHC