Antibody data
- Antibody Data
- Antigen structure
- References [0]
- Comments [0]
- Validations
- Western blot [1]
- Immunocytochemistry [1]
- Immunohistochemistry [1]
Submit
Validation data
Reference
Comment
Report error
- Product number
- GTX108985 - Provider product page

- Provider
- GeneTex
- Proper citation
- GeneTex Cat#GTX108985, RRID:AB_1949603
- Product name
- AGR3 antibody [N1C3-2]
- Antibody type
- Polyclonal
- Reactivity
- Human
- Host
- Rabbit
No comments: Submit comment
Supportive validation
- Submitted by
- GeneTex (provider)
- Main image

- Experimental details
- Sample (30 ug of whole cell lysate) A: 293T 12% SDS PAGE GTX108985 diluted at 1:500
Supportive validation
- Submitted by
- GeneTex (provider)
- Main image

- Experimental details
- Immunofluorescence analysis of methanol-fixed A549, using AGR3(GTX108985) antibody at 1:200 dilution.
Supportive validation
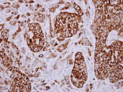
- Submitted by
- GeneTex (provider)
- Main image

- Experimental details
- Immunohistochemical analysis of paraffin-embedded A549 xenograft, using AGR3(GTX108985) antibody at 1:500 dilution.