Antibody data
- Antibody Data
- Antigen structure
- References [0]
- Comments [0]
- Validations
- Western blot [1]
- Immunohistochemistry [1]
Submit
Validation data
Reference
Comment
Report error
- Product number
- AP11468PU-N - Provider product page

- Provider
- Acris Antibodies GmbH
- Proper citation
- Acris Antibodies GmbH Cat#AP11468PU-N, RRID:AB_1748275
- Product name
- anti ALDH5A1 / SSADH (N-term)
- Antibody type
- Polyclonal
- Antigen
- This antibody is generated from rabbits immunized with a KLH conjugated synthetic peptide selected from the N-terminal region of human ALDH5A1.
- Reactivity
- Human
- Host
- Rabbit
- Vial size
- 0.4 ml
- Concentration
- lot specific
No comments: Submit comment
Supportive validation
- Submitted by
- Acris Antibodies GmbH (provider)
- Main image

- Experimental details
- Western blot analysis of ALDH5A1 (arrow) using rabbit polyclonal ALDH5A1 Antibody (N-term) (AP11468PU-N). 293 cell lysates (2 µg/lane) either nontransfected (Lane 1) or transiently transfected with the ALDH5A1 gene (Lane 2) (Origene Technologies).
Supportive validation
- Submitted by
- Acris Antibodies GmbH (provider)
- Main image

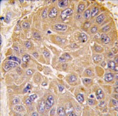
- Experimental details
- Formalin-fixed and paraffin-embedded human hepatocarcinoma tissue reacted with ALDH5A1 antibody (N-term), which was peroxidase-conjugated to the secondary antibody, followed by DAB staining. This data demonstrates the use of this antibody for immunohistochemistry; clinical relevance has not been evaluated.