Antibody data
- Antibody Data
- Antigen structure
- References [0]
- Comments [0]
- Validations
- Western blot [1]
- Immunocytochemistry [3]
- Immunohistochemistry [1]
Submit
Validation data
Reference
Comment
Report error
- Product number
- PA5-59154 - Provider product page

- Provider
- Invitrogen Antibodies
- Product name
- SLTM Polyclonal Antibody
- Antibody type
- Polyclonal
- Antigen
- Recombinant protein fragment
- Description
- Immunogen sequence: STDTPNKKPT KGKGKKHEAD ELSGDASVED DAFIKDCELE NQEAHEQDGN DELKDSEEFG ENEEENVHSK ELLSAEENKR AHELIEAEGI EDIEKEDIES QEIEAQEGED D Highest antigen sequence identity to the following orthologs: Mouse - 84%, Rat - 85%.
- Reactivity
- Human
- Host
- Rabbit
- Isotype
- IgG
- Vial size
- 100 μL
- Concentration
- 0.1 mg/mL
- Storage
- Store at 4°C short term. For long term storage, store at -20°C, avoiding freeze/thaw cycles.
No comments: Submit comment
Supportive validation
- Submitted by
- Invitrogen Antibodies (provider)
- Main image

- Experimental details
- Western blot analysis of SLTM in U2OS cells transfected with control siRNA, target specific siRNA probe #1 and #2, using a SLTM Polyclonal Antibody (Product # PA5-59154). Remaining relative intensity is presented.
Supportive validation
- Submitted by
- Invitrogen Antibodies (provider)
- Main image

- Experimental details
- Immunofluorescent staining of SLTM in human cell line U-2 OS shows positivity in nucleus but excluded from the nucleoli. Samples were probed using a SLTM Polyclonal Antibody (Product # PA5-59154).
- Submitted by
- Invitrogen Antibodies (provider)
- Main image

- Experimental details
- Immunofluorescent staining of SLTM in human cell line U-2 OS using a SLTM Polyclonal Antibody (Product # PA5-59154) shows localization to nucleoplasm and nuclear bodies.
- Submitted by
- Invitrogen Antibodies (provider)
- Main image

- Experimental details
- Immunofluorescent staining of SLTM in human cell line U-2 OS using a SLTM Polyclonal Antibody (Product # PA5-59154) shows localization to nucleoplasm and nuclear bodies.
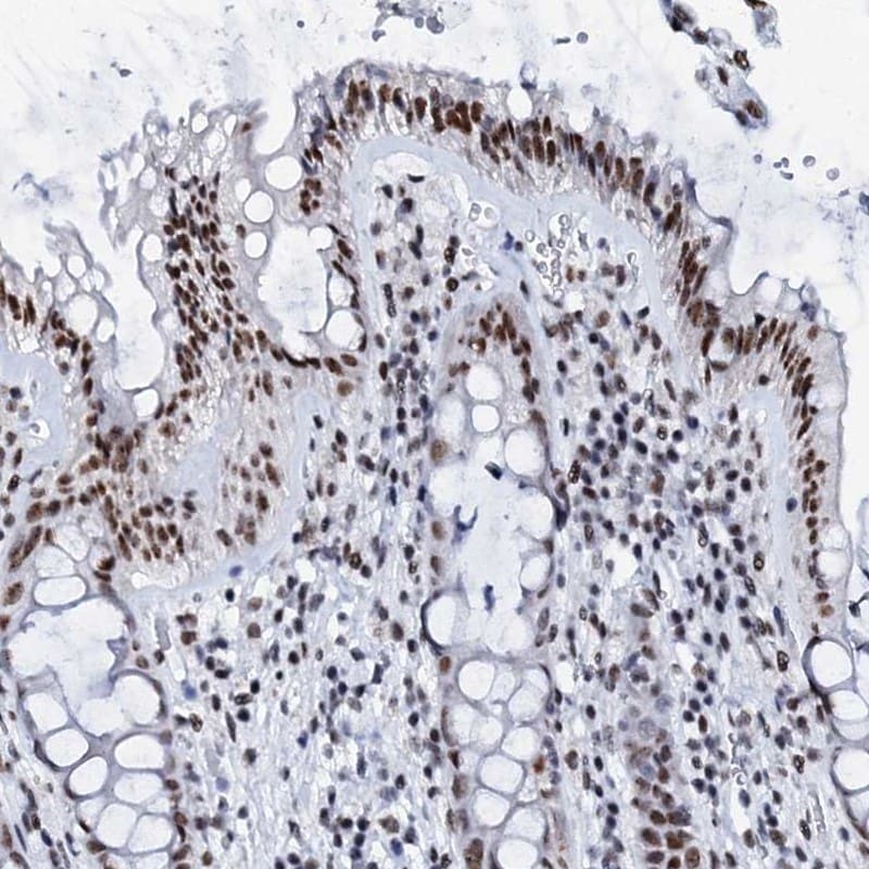
Supportive validation
- Submitted by
- Invitrogen Antibodies (provider)
- Main image

- Experimental details
- Immunohistochemical staining of SLTM in human rectum using a SLTM Polyclonal Antibody (Product # PA5-59154) shows strong nuclear positivity in glandular cells.