Antibody data
- Antibody Data
- Antigen structure
- References [0]
- Comments [0]
- Validations
- Western blot [1]
- Immunoprecipitation [1]
Submit
Validation data
Reference
Comment
Report error
- Product number
- LS-C817434 - Provider product page

- Provider
- LSBio
- Product name
- TEX30 / C13orf27 Antibody LS-C817434
- Antibody type
- Polyclonal
- Description
- Protein A affinity chromatography
- Reactivity
- Human
- Host
- Rabbit
- Isotype
- IgG
- Storage
- Store at 2°C to 8°C for up to 1 month. Aliquot and store at -20°C to -80°C for up to 1 year. Avoid freeze/thaw cycles.
No comments: Submit comment
Supportive validation
- Submitted by
- LSBio (provider)
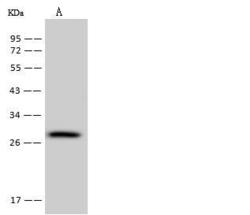
- Main image

- Experimental details
- Anti-TEX30 rabbit polyclonal antibody at 1:500 dilution. Lane A: U-251 MG Whole Cell Lysate. Lysates/proteins at 30 ug per lane. Secondary: Goat Anti-Rabbit IgG (H+L)/HRP at 1/10000 dilution. Developed using the ECL technique. Performed under reducing conditions. Predicted band size: 25 kDa. Observed band size: 27 kDa.
Supportive validation
- Submitted by
- LSBio (provider)
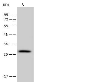
- Main image

- Experimental details
- TEX30 was immunoprecipitated using: Lane A: 0.5 mg U251MG Whole Cell Lysate. 4 uL anti-TEX30 rabbit polyclonal antibody and 60 ug of Immunomagnetic beads Protein A/G. Primary antibody: Anti-TEX30 rabbit polyclonal antibody, at 1:100 dilution. Secondary antibody: Goat Anti-Rabbit IgG (H+L)/HRP at 1/10000 dilution. Developed using the ECL technique. Performed under reducing conditions. Predicted band size: 25 kDa. Observed band size: 27 kDa.