Antibody data
- Antibody Data
- Antigen structure
- References [0]
- Comments [0]
- Validations
- Western blot [1]
Submit
Validation data
Reference
Comment
Report error
- Product number
- PA5-112282 - Provider product page

- Provider
- Invitrogen Antibodies
- Product name
- Anti-C13orf27 Polyclonal Antibody
- Antibody type
- Polyclonal
- Antigen
- Other
- Reactivity
- Human
- Host
- Rabbit
- Isotype
- IgG
- Vial size
- 100 µL
- Concentration
- 1 mg/mL
- Storage
- Store at 4°C short term. For long term storage, store at -20°C, avoiding freeze/thaw cycles.
No comments: Submit comment
Supportive validation
- Submitted by
- Invitrogen Antibodies (provider)
- Main image

- Experimental details
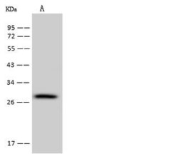
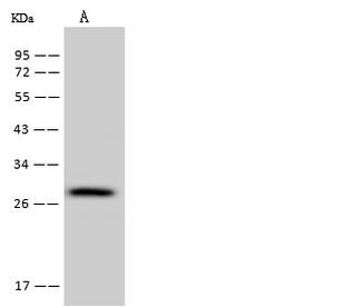
- Western Blot analysis of C13orf27 using C13orf27 Polyclonal Antibody (Product # PA5-112282) at a dilution of 1:500. Lane A: U-251 MG whole cell lysate, (Lysates/proteins at 30 ?g per lane). The secondary antibody used was a Goat Anti-Rabbit IgG (H+L)/HRP at 1:10000 dilution. Developed using the ECL technique and performed under reducing conditions. Predicted band size: 25 kDa. Observed band size: 27 kDa.